МРТ 1.5 тесла
Vantage Elan – победитель по техническим решениям в конкурсе Red Dot Award Design. В систему успешно интегрированы самые современные технологии, доступные для сверхпроводящих магнитов с напряженностью магнитного поля 1.5 тесла. Для достижения максимальной скорости обследования и великолепного качества, в системе используются 16 цифровых каналов для приема и передачи данных.
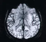
Передовые технологии, доступные в МРТ 1.5 тесла Vantage Elan, позволяют получать достаточные для скрининговой диагностики изображения без внутривенного контрастного усиления, такие как, визуализация сосудов среднего калибра, что существенно улучшает диагностику сосудистой патологии и позволяет заподозрить состояния предпатологии (предрасположенности к возникновению патологии, например – к инсульту, прогрессированию энцефалопатии, деменции и многое другое).
Комфорт пациента во время обследования достигается благодаря применению Pianissimo — технологии снижения шума. Аппарат рассчитан на вес пациента до 110 кг.
Vantage Elan имеет впечатляющие расширенные возможности для клинических исследований. Кроме стандартных исследований головного мозга, всех отделов позвоночника, суставов, возможен широкий спектр дополнительных исследований:
- исследование сосудов почек
- исследование органов малого таза
- исследование органов брюшной полости, включая диагностику или исключение онкологии
- исследование артерий головного мозга, в том числе артерий 3-4 порядка, без введения контраста
- исследование венозной системы головного мозга
- и др.
Информация для докторов.
- гарантировано высокая однородность магнитного поля и соответственно качество изображений
- расширенная и обновленная версия программного обеспечения M-Power
- возможность сканирования протяженных участков тела (например, мягкие ткани конечностей) используя большую катушку для тела. Возможность оценивать несколько зон одновременно, без перекладывания пациента и катушек путем перемещения деки стола
- качественная визуализация сосудов без контраста реализованная благодаря инновационной технологии Advanced Non-Contrast MRI
- технология Fat Free позволяет получать изображение наивысшего качества с подавлением сигнал от жировой ткани.
- благодаря современной опции «МР-перфузия» реализована возможность оценки параметров кровотока в отдельных, интересующих доктора, участках головного мозга
- методика диффузионно-взвешенных изображений с высоким b-фактором, которая применима к визуализации брюшной полости и малого таза
ПРИМЕРЫ ИЗОБРАЖЕНИЙ, сделанных на нашем оборудовании.
Исследование головного, спинного мозга и сосудов. Уникальные возможности оборудования позволяют визуализировать сосуды головного мозга и с высочайшей степенью достоверности, диагностировать сосудистую патологию головного мозга, включая сосудистые программы для оценки состояния мелких сосудов.
МРТ внутренних органов с возможностью онкологических исследований.
Уникальная технология – МРТ сосудов, отходящие от аорты. Сосуды почек.
Органы малого таза – предстательная железа, матка…
МРТ диагностика суставов, что дает расширенные возможности в установлении диагноза и в выборе тактики лечения.
МРТ плечевого сустава
МРТ лучезапястного сустава
Голеностопный сустав и стопа с сосудами
МРТ система обеспечивает достаточный комфорт
При этом сохраняется возможность получать изображения широкой анатомической области.















