В этой статье:
Что такое вегетососудистая дистония и минимальная мозговая дисфункция
Вегетососудистая дистония или ВСД– это состояние, которое включает в себя нарушение тонуса сосудов (дистония) ввиду нарушения вегетативной иннервации стенки сосудов (вегетососудистая). ВСД приводит к ухудшению питания тканей мозга и отклонению функции мозга (минимальная мозговая дисфункция).
Например, нарушение поведенческих реакций у детей, расстройства поведения, повышенная возбудимость, задержка физического и психического развития и др. – это все минимальная дисфункция мозга.
Что же в таком случае максимальная мозговая дисфункция? Нет такого понятия. Есть выпадение функции мозга, например, при инсульте или его инфаркте, когда полностью прекращается кровоток (например, тромбоз) или кровоток снижается до критических значений (например, стенозирующий атеросклероз).
Вегетососудистая дистония — это одно из самых распространенных состояний, которые нарушают качество жизни и вызывают большой спектр заболеваний. Таких, как головные боли, несистемное головокружение, шум в ушах, боли в области сердца, гипоталамические расстройства и многое другое.
Как? Измененные параметры кровотока заставляют мозг не только менять свою функцию, но и стареть раньше. Этот процесс называется ДЭП (дисциркуляторная энцеалопатия).
Теперь почему поднят этот вопрос?
Потому, что у человека имеется нередко несколько заболеваний сосуществуют одновременно. Например, стенозирующий атеросклероз и ВСД. Что из них важнее? Что нужно лечить первым?
Проблема в том, что при поверхностном обследовании, первым в глаза бросается, конечно, атеросклероз. Он нередко побуждает доктора списывать всю симптоматику на сужение сосудов.
Вместе с тем, практика показывает, что люди, даже с, казалось бы, критическим сужением сосудов мозга (более 90%) могут сохранять достаточное качество жизни, думать, работать… и быть полностью компенсированными.
Как это описано e нашего 70-летнего пациента в статье «Старение начинается с сосудов». Он полностью компенсирован благодаря лечению вегетососудистой дистонии. Да, нам удалось уменьшить атерсклеротическое сужение сосудов. Но, это было потом. Сначала мы ему не дали умереть от спазма коронарных сосудов (ВСД) и критического замедления скорости кровотока как в мозге, так и в сердце.
Как проявляет себя вегетососудистая дистония (симптомы ВСД)
Вегетососудистая дистония имеет следующие симптомы и признаки:
- головокружение,
- головная боль,
- некоторые виды односторонней головной боли,
- нестабильность артериального давления,
- шум в ушах,
- боли в затылке,
- боли в глазу (глазнице),
- эмоциональная лабильность,
- быстрая смена настроения,
- чувство тревоги,
- чувство паники и панические атаки (симпатоадреналовые кризы)
- нарушение сна,
- нестабильная работа сердца (тахикардия, брадикардия, аритмия),
- синдром хронической усталости,
- стойкое повышение артериального давления, гипертонические кризы,
- артериальная гипертензия ситуационная,
- сниженное артериальное давление,
- сосудистые (вазомоторные) реакции,
- тремор пальцев рук, тремор век,
- влажные руки (гипергидроз),
- и многое другое.
Крайняя степень ВСД по гипертоническому типу — это постоянное повышение артериального давления (частый симптом вегетососудистой дистонии).
Гипертонический криз с точки зрения неврологии – это преходящее нарушение мозгового кровообращения.
Нарушение кровотока головного мозга при гипертоническом кризе таково, что возникает достаточно продолжительная дисфункция клеток и нервных центров. Не гибель нервных клеток мозга, как это происходит при инсульте, а дисфункция клеток. Причина – выраженное изменение кровотока участка мозга. Работа этих нервных клеток со временем восстанавливается. Но функция нервных клеток не всегда остается неполноценной. Имеет место эффект суммации: чем больше гипертонических кризов, тем выраженнее энцефалопатия (патология тканей мозга).
Если же вегетососудистая дистония (ВСД) существует длительное время и не лечится, мозг начинает быстрее стареть, развивается энцефалопатия. Читать «Как продлить активную жизнь»
Кто в Центре «Меддиагностика» диагностирует и лечит вегетососудистую дистонию
Оборудование Центра для диагностики ВСД и других неврологических и сосудистых заболеваний
Вегетососудистая дистония и минимальная мозговая дисфункция
Дословный перевод понятия «вегетососудистая дистония», или ВСД – это изменение тонуса сосудов ввиду нарушения их регуляции вегетативным отделом нервной системы. Вегетативный отдел нервной системы имеет непосредственное отношение к головному мозгу, в частности – к гипоталамусу. Это небольшая, но очень важная область мозга. Гипоталамус — одна из наиболее древних частей головного мозга, которая обеспечивает практически все приспособительные реакции организма. В первую очередь гипоталамус контролирует функцию сердечнососудистой системы, в частности – поддерживает тонус сосудов.
Например, приспособление к теплу сопровождается вегетативной реакций в виде расширения сосудов кожи. При этом происходит интенсивное потение. Это является вегетативной реакцией.
Или другой пример: повышение артериального давления при стрессе, когда сосуды спазмируются. Спазм сосудов — это подготовка организма к возможной кровопотере. Вообще, стресс – это реакция на опасность, активизация организма и настраивание его на предстоящую борьбу.
Или, например, бытовой и производственный стрессы, которые естественны, и от которых не уходит никто. Это нормальное явление. Например, реакция на визит к шефу…
Вопрос только в том, как человек выходит из такого рода постоянных мелких стрессов. В состоянии ли мозг дать «отбой»? Или стресс накапливается?
При стрессе спазм сосудов кожи уменьшает кровопотерю. При этом повышается артериальное давление. Если стресс хронический, артериальное давление может оставаться высоким длительное время. Это состояние называется гипертонией, или гипертонической болезнью. Такое случается (это важно!), когда не срабатывают механизмы выхода из стресса.
Механизм стрессовой реакции, равно как и механизмы выхода из стресса заложены в работе головного мозга. Центром такой регуляции, напомним, есть гипоталамус.
Немного о гипоталамусе и его роли в ВСД
За сосудистые ответы организма на разные жизненные ситуации отвечает центральный регулятор вегетативных (приспособительных) реакций– гипоталамус. Это центральный регулятор сосудистых реакций в виде спазма и расслабления сосудов кожи, мышц, кишечника, почек … и даже сосудов самого мозга.
Cбой в работе гипоталамуса (центральный регулятор сосудистых реакций) приводит к развитию вегетососудистой дистонии (ВСД).
Вообще то реакция гипоталамуса не ограничивается регуляцией сосудов. Гипоталамус, как центральный «хаб» вегетативной нервной системы, осуществляет интеграцию многих функций в организме. Основные из этих функций следующие:
- Центральная регуляция работы сердца. Стресс ускоряет сердцебиение.
- Центральная регуляция водного обмена. Пример – обильное мочеиспускание (полиурия) при стрессе. Кстати, полиурия – весомая составляющая симпатоадреналового криза. Мозг при стрессе пытается избавиться от излишка жидкости. Команду этим процессам дает гипоталамус.
- Гипоталамус осуществляет центральную регуляцию работы кишечника. У некоторых людей при стрессе эвакуация содержимого кишечника ускоряется… В народе это называют «медвежья болезнь». Кишечник начинает откровенно быстрее работать при нервно-эмоциональных переживаниях. Например, при встрече с медведем.
- Учащенное дыхание, равно как и сердцебиение при волнении – все это работа гипоталамуса.
- Известна центральная (гипоталамическая) регуляция т.н. циркадных ритмов – смены режимов работы организма днем и отдыха ночью. Регуляция ритма сна и бодрствования – это гипоталамус. Читать о гипоталамусе и как утреннее открытие глаз активизирует вегетативные функции и весь организм
Иными словами, все мы очень зависимы от этого относительно небольшого участка мозга, от гипоталамуса.
Вегетососудистая дистония (ВСД) – возникает при сбое в работе гипоталамуса. Такой сбой имеет еще одно название — гипоталамический синдром. ВСД является неотъемлемой частью гипоталамического синдрома. Базовая сосудистая симптоматика при этих заболеваниях одинакова. Но, при описании гипоталамического синдрома много больше внимания уделяется эндокринным (гормональным) сдвигам. Хотя, ВСД не протекает без гормональной составляющей. В частности, при ВСД задействуются надпочечники и стрессовые гормоны, такие, как адреналин.
ВСД и НЦД
Термин «вегетососудистая дистония» был заменен на термин «нейроциркуляторная дистония». Анализ этих двух названий показал их полную идентичность. Читать больше об отличии вегетососудистой дистонии (ВСД) и нейроциркуляторная дистония (НЦД).
Как ведут себя сосуды при ВСД (НЦД)
Кроме центрального контроля тонуса сосудов из гипоталамуса, локальный контроль тонуса сосудов осуществляется при участии вегетативных нервов, которые в большом количестве присутствуют в стенке сосудов. Они контролируют и управляют мышечным слоем сосудов. Это локальная регуляция, которая подкрепляется центральным регулятором — гипоталамусом.
На микрофотографиях ниже показаны эти нервы.
Сосуд – это трубка, которой свойственна выраженная активность. Сосуд эластичен и может менять свое сечение. Сосуды активно реагируют на давление крови внутри. Специальные рецепторы отслеживают растяжения сосуда и, если это необходимо, сосуд самостоятельно суживается. Причем, это достаточно прогнозируемый и управляемый процесс. Для этого должны быть сбалансированы гидродинамическая нагрузка внутри сосуда, локальная нервная и эндокринная регуляции, плюс под контролем гипоталамуса. Забегая вперед, нужно отметить, что учет и понимание этих процессов позволяет регулировать тонус сосудов при вегетососудистой дистонии.
Стенка сосуда устроена достаточно сложно (см. рисунок ниже).
Сосуды имеют несколько слоев. Один из этих слоев сосуда – мышечный.
Как раз он и иннервируется вегетативными нервами.
- Активация большего количества нервных волокон вызывает спазм сосуда.
- Меньше волокон активировалось — сосуд расслабляется.
- Если нервные стимулы отсутствуют — сосуд утрачивает тонус и расслабляется (это называется «парез сосуда»).
Такая регуляция делает «перекачку крови» через ткань управляемой.
К сосуду подходят вегетативные нервы двигательные и чувствительные нервные волокна.
Давление в стенке сосуда отслеживается вегетативными рецепторами на уровне спинного мозга и гипоталамуса. Организм сам принимает решение, как поступить с этим сосудом или сосудистым бассейном: расслабить сосуды или вызвать их спазм.
Патология сосудистого тонуса (сосудистая дистония, или ВСД) начинается, когда нервы дают мышечной стенке извращенный импульс. В этом случае сосуд реагирует неадекватно. Возникает его дистония – неадекватная, порою неуправляемая реакция сосуда, с которой не может справиться даже высший центр регуляции тонуса — гипоталамус. Приставка «дис-» означает «расстройство», «нарушение». Это один из важных механизмов развития вегетососудистой дистонии (ВСД).
Таким образом, тонус сосудов регулируется не только центральным мозговым регулятором вегетативных функций – гипоталамусом, но и контролируется локальными нервными аппаратами (тонкими вегетативными нервами и рецепторами, заложенными в стенке сосуда).
К каким расстройствам и симптомам ведет вегетососудистая дистония
ВСД меняет работу сердца и сосудов. ВСД затрагивает и эмоциональную сферу, может приводить к невротическим расстройствам, стать причиной заболеваний желудка и кишечника…
Спазм сосудов вызывает повышение артериального давления. Это состояние назвали «ВСД по гипертоническому типу». Расслабление сосудов приводит к снижению артериального давления – «ВСД по гипотоническому типу». Бывают случаи, когда артериальное давление нестабильно. В этом случае говорят о «ВСД по смешанному типу»: когда повышение артериального давления чередуется с его понижением.
ВСД по гипертоническому типу поначалу возникает ситуативно. А потом, когда стрессовые реакции накапливаются (см. выше), повышение артериального давления становится устойчивым. Это состояние называют «артериальной гипертензией» и «гипертонической болезнью». Читать больше о гипертонической болезни.
Вегетососудистая дистония (ВСД) меняет режим кровоснабжения головного мозга, что сказывается на состоянии мозга. Нарушение питания мозга приводит к разбалансировке работы участков мозга, когда одна клетка более активна, а другая — менее. Это и есть мозговая дисфункция.
Мозговая дисфункция – это головокружение, чувство усталости, снижаение работоспособности, неспособность сосредоточиться, неадекватная реакция на стресс, раздражительность, агрессия, и др. Причина всем этим и многим другим состояниям в неврологии — мозговая дисфункция.
Минимальная мозговая дисфункция – это отклонение функции мозга чаще вследствие недостаточности мозгового кровотока. Речь идет об ограниченном перечне физических показателей кровотока: гидродинамических в виде изменения объема кровотока, его скоростных показателей, давление крови внутри сосуда и др. Читать больше о гидродинамике кровотока. Характер жалоб зависит от той области мозга, где изменен кровоток.
Что в таком случае «максимальная» мозговая дисфункция?
Этот вопрос лежит в плоскости оценки степени расстройств функции мозга. При минимальной мозговой дисфункции мозг и его отдельные центры работают с отклонениями («в нештатном режиме»). Если же кровоток полностью прекращается, мозг или его участок теряет свою функцию. Возникает «максимальная» мозговая дисфункция — инсульт. Инсульт означает полную утрату работы нервных клеток, поскольку к ним не поступает кровь и нервные клетки не получают кислород и иные полезные для них вещества. Без кровообращения нервные клетки безвозвратно погибают через 5-7 минут. При этом участок мозга, в котором прекратился кровоток, перестает функционировать. Его функция выпадает из общей функции мозга. Возникает неврологический дефицит, когда человек не может, например, двигать рукой, ногой, не может ходить или говорить… Дисфункция же мозга – это промежуточное состояние, которое характеризуется отклонением функции мозга. Степень отклонения зависит от степени недостаточности кровотока и, соответственно, от степени недополучения мозгом кислорода и др. питания.
«Максимальная» мозговая дисфункция — это инсульт. Хотя, термин «максимальная мозговая дисфункция» не используется ни в литературе, ни в медицинской практике. Существуют только клинические градации степени выраженности ВСД.
Что делать для того, чтобы минимальная или более выраженная мозговая дисфункция при ВСД не закончилась инсультом?
Для того, чтобы минимальная или более выраженная мозговая дисфункция при ВСД не закончилась инсультом – необходима диагностика состояния кровотока головного, оценка состояния самого мозга. И, конечно же, учет клинической составляющей заболевания (осмотр и опрос доктором неврологом).
Диагностика ВСД
Начальные изменения в мозге, которые сопровождают минимальную мозговую дисфункцию могут быть видны на МРТ. Для этого лучше использовать МРТ с высоким разрешением: МРТ с напряженностью магнитного поля в 1.5 Теслы вполне достаточно. Но при условии наличия в МРТ-аппарате современных программ, которые позволяют с высокой степенью достоверности определять даже минимальные отклонения в мозговой ткани и сосудов.
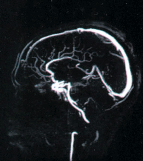
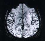
Отклонения в состоянии сосудов, которые сопутствуют ВСД и вызывают дисфункцию мозга видны при МРТ-реконструкции сосудов головы. Сопоставление сосудистых изменений с изменениями в ткани мозга помогает уточнить диагноз вегетососудистой дистонии (ВСД).
Снимки МРТ реконструкции сосудов головы (выше) без применения контраста. Современные методы диагностики сосудистой патологии головного мозга с использованием современного МРТ оборудования.
Такими изменениями могут быть расширения ликворных пространств (пространства Вирхова-Робина), лейкоореоз или перевентрикулярные свечения тканей мозга, расширение ликворных конвекситальных пространств и ряд других важных для установления диагноза изменений. Такие МРТ находки говорят о запущенном процессе дисфункции мозга. Как правило, причинами этих изменений являются нарушения кровотока в головном мозге в виде ВСД (вегетососудистой дистонии) и сопутствующие нарушения циркуляции ликвора. Читать больше о диагностике ВСД.
Следует отметить, что ВСД как с высоким, так и низким артериальным давлением одинаково опасны.
Есть иные заболевания, которые могут протекать под маской ВСД. Например, атеросклероз сосудов, который вызывает недостаточность кровотока в тканях мозга (или сердца) и чаще заканчивается инфарктом или инсультом.
Диагностика в неврологии – самый главный этап общения пациента с доктором. Речь идет не только об осмотре доктором-неврологом, но и об аппаратной диагностике. Аппаратная диагностика (МРТ, УЗИ, рентген) позволяют выявить причину ВСД, определить характер и степень развития сосудистой патологии и провести адекватное лечение. В качестве примера можно привести атеросклероз сосудов, который может иметь схожую симптоматику с вегетососудистой дистонией. Читать больше об атеросклерозе сосудов. И атеросклероз, и ВСД приводят к недостаточности мозгового кровотока. И ВСД и атеросклероз могут вызвать сосудистую катастрофу, например — инсульт, инфаркт или дисциркуляторную энцефалопатию.
Лечение вегетососудистой дистонии (ВСД)
В лечении ВСД важна регуляция сосудистого тонуса. Причем эффективность лечения ВСД многократно возрастает, если воздействовать на не только на гипоталамус, но и на аппараты местной регуляции тонуса сосудов.
Для избирательного воздействия на разные уровни регуляции сосудистого тонуса наиболее эффективна иглотерапия. Это не значит, что иглам не нужно помогать медикаментами. Фармакология является мощным подспорьем в лечении. Но, целенаправленность воздействия на отдельные сосудистые бассейны мозга на сегодня возможна только при помощи рефлексотерапии, в частности – иглотерапии. Читать о тонкой регуляции сосудистого тонуса при лечении ВСД
Где диагностировать и лечить вегетососудистую дистонию
Диагностика и лечение вегетососудистой дистонии, нейроциркуляторной дистонии, сосудистой патологии головного и спинного мозга проводится в Центре «Меддиагностика», г. Киев, левый берег, 250 метром от метро Дарница, переулок Строителей, дом 4.

Доктор медицинских наук по специальности «Неврология», высшая категория по специальности «травматология-ортопедия»










