Контрастирование подразумевает использование специальных контрастных веществ при проведении исследования. Под контрастными веществами в МР томоrрафии понимают парамагнитные химические препараты, которые изменяют информативность МРТ, за счет изменения контрастности одной ткани по отношению к другой.
Это стало возможным, когда синтезировали специальные вещества не активные в магнитном поле (парамагнитики) и способные избирательно накапливаться в определенных видах тканей человеческого организма.
К ним относятся магневист, томовист, омнискан, гадовист. Эти вещества практически не накапливаются в здоровых клетках и имеют свойство накапливаться в больных. Тем самым повышая диагностические возможности томографии.
Показания к МРТ исследованию с контрастированием
- Исследования находки, полученной при проведении МРТ без контрастирования, для дифференциального диагноза.
- Подозрение на инфекцию, воспаление или рак. При этих состояниях имеет место накопление контраста в пораженных тканях.
- Опухоли головного и спинного мозга. Большинство, опухолей контрастируются. При контрастировании лучше видны границы опухоли, что важно для планирования операции. Кроме того, контрастирование добавляет информацию о внутренней структуре опухоли, что позволяет предположить степень ее злокачественности.
- Контрольное исследование после операции на мозге. Необходимо для оценки того, насколько полно удалена опухоль или для выявления рецидива (повторная опухоль).
- Поиск метастазов в мозге. К сожалению, мелкие метастазы не видны. Контрастирование увеличивает вероятность выявления метастазов больше чем в 2 раза. У онкологических пациентов рекомендуется исследование мозга с контрастированием.
- Определение активности рассеянного склероза. Для определения тактики лечения необходимо определить, насколько активен процесс в настоящее время.
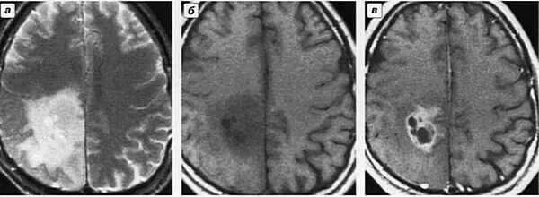
Рисунок. Опухоль головного мозга.
а) и б) – Т1 и Т2 режимы без контрастирования;
в) исследование с контрастом, при котором четко видна сама опухоль, остальное отек.

