Боль в ноге, боль в спине, невыносимые ночные боли, невозможность пройти большую дистанцию. Все это может быть проявлением грыжи диска.
За последние 40 лет нашей работы с позвоночником и грыжами дисков примеров можно привести множество.
Один из них – Ирина. Молодая 35 летняя женщина. Мама буквально сняла Ирину с операционного стола и привела в клинику в августе 2018 года.
После проведенного лечения грыжи не стало.
История излечения Ирины от грыжи диска
Ирину беспокоили круглосуточные боли в пояснице. Ночью боль на давала ей спать, а днем боль в пояснице и в ноге усиливались при ходьбе. Боли в спине не давали сидеть и «ударяли» в ногу при подъеме со стула. Боль вызывал кашель и чихание – болели левая нога и левая ягодица. Кстати, боль в ноге и боль в ягодице – это чаще характерный признак радикулита (сдавливания корешка в позвоночнике). Круглосуточные боли в спине и ноге при грыже диска чаще интенсивные и носят изматывающий характер. Человек с грыжей не спит ночами и не отдыхает днем. Мечтая уйти от этой боли, человек согласен на все. В том числе – на операцию.
Но, как показывает многолетняя практика, грыжу диска можно уменьшить в размере и даже полностью вылечить без операции.
Глядя в историю болезни Ирины, могу сказать, что ситуация была не простой. Боль в спине ее беспокоила 8 лет. А невыносимые боли в ноге присоединились 3 месяца назад.
Были дополнительные факторы, которые не давали лечащим врачам снять эту боль в спине и боль в ноге медикаментами. Список медикаментов впечатлил даже меня. Их она принимала в очень большом количестве и долго. Массаж вызывал обострение. Попытки «вправить» диск мануальной терапией тоже не увенчались успехом и вызвали обострение. Одним словом – кроме операции, на чем настаивали хирурги, иного пути Ирина уже и не видела. Клиника «Меддиагностика» была последней ее попыткой, на чем настояла мама.
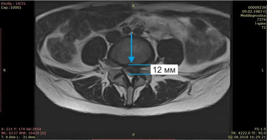
Осмотрели Ирину неврологически и ортопедически, исследовали позвоночник на МРТ и рентгене. Оказалось, что у нее очень большая левосторонняя грыжа размером 12 мм.
На МРТ показано излечение грыжи диска (до- и после лечения).
После первого же приема удалось выраженно уменьшить боль. Ночь Ирина уже спала. Дневные боли у значительно уменьшились уже через несколько дней. Возможность спать без боли – это тоже не мало.
Прошло 2 недели. Ирину практически ничего не беспокоило. Но, ногу поднять в полном объеме она еще не могла. Сохранялся т.н. симптом Ласега (боль в спине и ноге, когда пациент лежит на спине, а врач поднимает ногу). Это говорило о том, что грыжа еще сдавливает корешок.
Что делать с грыжей?
Пришлось ее немного дообследовать. Выяснилось, что кроме грыжи у нее есть еще и воспаление, которое не давало уменьшиться отеку тканей диска. Попросту – влага не уходила из грыжи. Нашей задачей было «высушить» грыжу диска. Технологически это реальный процесс. Он занял у нас несколько месяцев. При этом через несколько дней после начала лечения качество жизни Ирины стало несоизмеримо лучше: она спала ночью, а днем ее беспокоила умеренная эпизодическая боль. Эта боль не шла ни в какое сравнение с той изнуряющей постоянной болью в ноге, которую она испытывала до лечения. Поэтому мы имели возможность заниматься уменьшением грыжи в плановом порядке.
Оценив исходные данные (результаты анализов, биомеханику позвоночника и др.) мы приступили к «высушиванию» и «вправлению» грыжи диска. По прошествии 1 месяца грыжа уменьшилась на 50%.
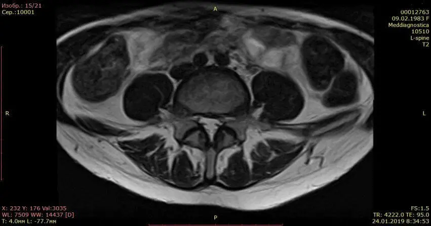
Контрольный МРТ, через 5 месяцев показал полное отсутствие грыжи диска (см. снимки Ирины ниже):
Обратите внимание на даты проведения МРТ в правом нижнем углу. МРТ исследования проведены на одном аппарате 1.5 теслы в клинике «Меддиагностика» в процессе лечения Ирины. МРТ позвоночника позволяет отследить динамику уменьшения грыжи диска.
Ирина прошла не только курс лечения, но и курс реабилитации. У нее восстановился рефлекс на левой ноге с ахиллова сухожилия. Мы ей укрепили спину, научили себя безопасно вести, рассказали, как сделать так, чтобы грыжа не образовалась вновь. Эти методы отрабатывались в клинике на протяжении последних 40 лет. Физическая реабилитация позволяет свести до минимума риски рецидива грыжи диска
Сегодня Ирина полностью здоровый человек с полным объемом движений в позвоночнике. Ее не беспокоят ни боль в спине, ни боль в ноге.
Она счастлива, что удалось вылечить грыжу позвоночника без операции.
Обычно, как показывает наша многолетняя практика, реабилитация после операции по поводу грыжи диска занимает почти столько же времени, как и лечение грыжи без операции. Согласно официальной статистике, приведенной самими нейрохирургами, хирургическое лечение грыжи диска в более чем 60% случаев заканчивается осложнениями (об осложнениях читать здесь). Осложнения требуют особого лечения и далеко не всегда заканчиваются выздоровлением.
Именно поэтому всегда лучше постараться провести нехирургическое лечение перед тем, как согласиться на оперативное удаление грыжи.
Центр «Меддиагностика» десятилетиями лечил заболевания позвоночника нехирургическим путем. За последние 40 лет работы нам удалось выработать оптимальные подходы к решению многих проблем с позвоночником. В том числе найти наиболее рациональные методы лечения грыж дисков позвоночника
Отзыв Ирины
Спасибо центру «Меддиагностика» за оказанную помощь. Боли в спине меня беспокоили уже давно, однако я особо не придавала этому значения, обходилась то мазями, то массажами, которые приносили облегчение лишь на время. Забила тревогу я только тогда, когда боли начали отдавать в ногу и пошло онемение ноги.Я сразу сделала МРТ, на котором обнаружилась межпозвоночная грыжа 12 мм, которая сдавливала седалищный нерв. Пропила таблетки противовоспалительные, витамины, но облегчения особого не было, боль в спине уменьшилась, но нога продолжала неметь.Ходили на консультацию к нейрохирургу, но там ответ один — оперативное лечение. Операцию я делать побоялась, решила испробовать другие методы. Друзья мне посоветовали обратиться в центр «Меддиагностика». Мне здесь назначили курс лечения позвоночника и сказали, что с операцией спешить не стоит, прооперировать всегда можно успеть. Я прошла сухую вытяжку позвоночника, курс массажей, уколы вдоль позвоночника. Ногу стало постепенно отпускать и на 6-7 сеанс прошло онемение пальцев.После лечения назначили лечебную физкультуру для закрепления эффекта. В итоге моя грыжа с 12 мм уменьшилась до 2мм! Я очень рада, что попала в этот центр, где работают профессионалы своего дела, которые ставят людей на ноги и оказывают реальную помощь. Отдельно большое спасибо профессору Гонгальскому Владимиру Владимировичу. Это человек с большой буквы и профессионал своего дела!!! Рекомендую всем этот центр. Спасибо Вам большое, что Вы есть! С уважением, Ремига Ирина
Оборудование
Оборудование центра для установления диагноза и выявления грыжи или протрузии, а также причины боли в спине или в ноге.
Кто лечит грыжу диска без операции
Почему не следует торопиться с удалением грыжи
До того, как лечь на операционный стол для удаления грыжи диска, всегда есть смысл попробовать вылечить заболевание без операции. Для этого существует ряд методов, которые эффективны для уменьшения грыжи в размерах. Тем более, существует около 60 видов заболеваний и состояний организма человека, при которых симптомы могут напоминать проявления грыжи диска. И если при этом на МРТ выявляют протрузию или грыжу, то нередко боль списывают на грыжу (протрузию), отказываясь замечать основную причину боли. Как правило, вопрос в диагностике и широте мышления доктора.
Абсолютные и относительные показания для хирургического лечения грыж
Для решения вопроса о хирургическом удалении грыжи диска пользуются показаниями для операции, которые четко прописаны. Показания для проведения операции бывают абсолютными (когда операцию нужно делать срочно) и относительными (когда можно не торопиться, но при этом операция не исключена).
Абсолютными показаниями для хирургического удаления грыжи диска являются в первую очередь симптомы, которые свидетельствуют о тяжелых вторичных неврологических расстройствах. Таких, как нарушение функции тазовых органов – мочеиспускания и дефекации. Чаще это недержание мочи и кала. С перечнем абсолютных и относительных показаний для проведения хирургического удаления грыжи диска можно ознакомиться здесь
Где лечить грыжи диска без операции
Лечение грыжи диска и протрузии диска без операции в Киеве проводят по адресу: переулок Строителей, дом 4 (250 м от метро Дарница).
Доктор медицинских наук, профессор НМУ,
В.В.Гонгальский
Читать больше:
- Радикулит
- Остеохондроз позвоночника
- О вертеброневрологии – специальности которая лечит заболевания нервной системы, вызванные изменениями в позвоночнике.





