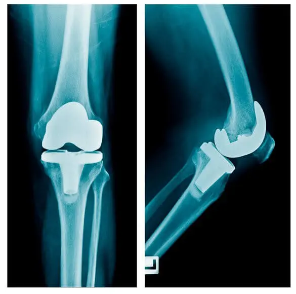
Артроз на поздних стадиях его развития является инвалидизирующим заболеванием. Лечение 3-4 стадии артроза проводится чаще путем эндпротозирования: замены старого «изношенного» сустава на искусственный новый. При полной изношенности сустава – это единственный путь решения проблемы. Но, как любая операция, эндопротезирование имеет свои риски.
Операция эндопротезирования сложная и достаточно травматичная. Эндопротез позволяет двигаться, но ограничивает человека в его привычной двигательной активности. Например, с обычным эндопротезом проблематично иметь исходный (желаемый) объем движений в суставе. Более того, чтобы продолжать с эндопротезом кататься, например, на лыжах, понадобится очень дорогой сустав. И даже с ним будут определенные двигательные ограничения.
Эндопротезирование нуждается в последующем контроле. Например, недогрузка конечности и развитие остеопороза [5] может привести к дестабилизации (расшатыванию) эндопротеза. Поэтому перед операцией эндопротезирования и после нее необходимо пройти денситометрию [6]– исследование плотности костной ткани.
Несмотря на эффективность эндопротезирования в компенсации утраченной функции колена, такое лечение имеет много «подводных камней». . Например, после эндопротезирования боли часто сохраняются. Причины таких болей приходится выявлять при помощи специальных методов меддиагностики. Их устранение требует достаточных усилий по реабилитации, чем активно занимается Центр Меддиагностика. Реабилитация постоперационных болей после эндопротезирования проводится в Центре «Меддиагностика». Поэтому лучше не допустить развитие артроза и стараться сохранить собственный сустав.
- Роль диагностики в тактике лечения болей в колене
- Как избежать операции на коленном суставе.
- Плазматерапия.
- Артроз коленного сустава
- Остеопороз кости.
- Денситометрия для выявления остеопороза

