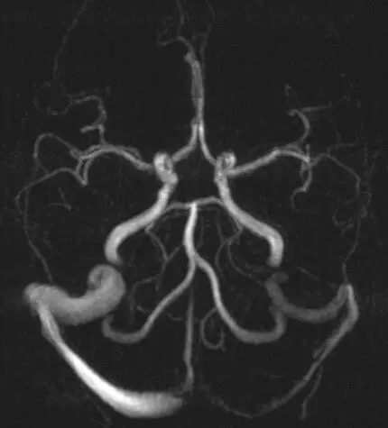
Для диагностики ВСД используют несколько методов. Для уточнения состояния мозга используют МРТ головы и головного мозга (одно исследование). Современные МРТ–аппараты позволяют увидеть изменения в самой ткани мозга, определить обратимость изменений, наличие дисциркуляторной энцефалопатии, своевременно выявить начальные изменения, на которые нужно срочно реагировать. Чаще такие изменения происходят в участках головного мозга с исходно измененным кровотоком или ликворотоком (два взаимосвязанных процесса). Поэтому одновременно с МРТ самого голоного мозга проводят МРТ исследование сосудов головного мозга с использованием специальных режимов. Это исследование называется МРТ реконструкция сосудов головы.
Удобно для доктора и безопасно для пациента то, что можно исследовать сосуды без введения контраста. Исследование сосудов мозга крайне важно при диагностике причин вегетососудистой дистонии (ВСД). Такое исследование позволяет определить области мозга с исходным дефицитом кровотока. Это участки мозга лежат в зоне риска поскольку ввиду исходной недостаточности кровоснабжения.
Функция сосудов зависит от иннервации вегетативным отделом нервной системы. Болевые импульсы проводятся вегетативными нервными проводниками. Головная боль всегда имеет вегетососудистую составляющую. Важно диагностировать отклонения в вегетативной нервной системе, что определяет тактику лечения при любой боли, включая головную боль.
Рецепторы и проводники боли относятся преимущественно к вегетативному отделу нервной системы.
Волокна вегетативной нервной системы пронизывает весь организм. Сбой в работе того или иного отдела вегетативной нервной системы могут влиять практически на все процессы в организме человека.
В первую очередь — это управление работой сердца и тонусом сосудов. Вегетативная нервная система управляет кровотоком любой части тела, включая головной мозга.
Вегетативная нервная система регулирует не только функцию сердца, но и печени, желудка, кишечника, функцию почек и даже желез внутренней секреции (гипофиз, надпочечники, яичники, яички у мужчин и др.).
Вегетативная нервная система тесно связана с грудным отделом позвоночника. Поэтому, если болит спина под лопаткой, появилась боль в межлопаточной области, болит грудной отдел позвоночника, в большинстве случаев присутствует дисфункция вегетативного отдела нервной системы.
Болит спина под лопаткой, в межлопаточной области: причины и методы лечения
Читать больше о тестировании дисфункция разных органов в организме, которые могут влиять в том числе на кровоток головного мозга и на появление головной боли.
В стандарт исследований мозга в Центре «Меддиагностика» входят суперсовременные режимы МРТ обследования: M-Power, технологии Advanced Non-Contrast MRI и др. Эти режимы позволяют выявить дефекты кровотока даже при отсутствии явных клинических проявлений.
Перечисленные методы и режимы дополняются тестированием вегетативного отдела нервной системы – СВТ тестом (стандартный вегетативный тест). Тест приобретает особо ценное клиническое значение в сочетании с оценкой дисфункции головного мозга.
Расценки на СВТ-тест и СВТ-тест расширенный
На МРТ снимках приведены анатомические варианты недоразвития сосудов мозга, что может сопровождаться вегетососудистой дистонией.
Своевременная комплексная диагностика состояния сосудов мозга и тканей самого головного мозга крайне важна для понимания, насколько ВСД поменяла ткани мозга. Тем более, что нередко ВСД по гипертоническому заканчивается инсультом.
Исследование сосудов головного мозга и его сосудов при помощи МРТ отвечает только на часть вопросов при вегетососудистой дистонии (ВСД). В первую очередь это вопросы патологии крупных и средних сосудов кровеносных сосудов и сосудистых бассейнов.
Для получения более полной информации о кровотоке головного мозга проводят УЗИ исследование сосудов шеи и головы. УЗИ сосудов (или допплерография) позволяет определить функциональные изменения в кровотоке при вегетососудистой дистонии (ВСД). Понимание этих изменений в кровотоке позволяет сформулировать тактику лечения ВСД, а также отследить состояние кровотока в динамике. Сочетание УЗИ сосудов головного мозга и МРТ реконструкции этих сосудов — важнейший этап диагностики вегетососудистой дистонии.
Наряду с этим, ключевым этапом диагностики ВСД есть опрос и клинический осмотр пациента доктором-неврологом. Если имеются сопутствующие проблемы с сердцем – боли, аритмия (тахикардия, брадикардия, неустойчивый пульс и др) возможно начинать с доктора кардиолога.
Но, безусловно, без современных методов аппаратной диагностики на сегодня установить верный диагноз при ВСД не представляется возможным. Речь идет об МРТ мозга, МРТ сосудов, УЗИ сосудов головы и шеи, рентген позвоночника, и др. Эти методы исследования помогают доктору выявить особенности и причину вегетососудистой дистонии (ВСД), уточнить характер и сложность сосудистых изменений, а также провести эффективное лечение. Например, на сегодня не существует иного метода определения состояния сосудистой стенки, нежели УЗИ исследование. Современные УЗИ аппараты, которыми располагает клиника «Меддиагностика» позволяют с высокой степенью достоверности определить многие изменения в стенке сосудов. Если эти изменения есть, то можно говорить о недостаточности питания мозга, например, при атеросклерозе (читать атеросклероз сосудов) или об ухудшении питания головного мозга за счет уплотнения стенки сосуда.
И атеросклероз и ВСД приводят к недостаточности мозгового кровотока. И ВСД и атеросклероз могут привести к сосудистой катастрофе – к инсульту или инфаркту. Но чаще этой патологии предшествует дисциркуляторная энцефалопатия (ДЭП). ДЭП на начальных стадиях развития может протекать бессимптомно. Со временем появляется все больше и больше начальных, а потов и более выраженных признаков недостаточности кровотока головного мозга. На них нужно обращать особо пристальное внимание и решать проблему в ее начальных стадиях развития. Желательно с учетом коррекции центрального регулятора сосудистого тонуса – гипоталамус. Это всегда легче и перспективнее в плане реального выздоровления. Читать о ДЭП подробнее.
Доктор медицинских наук, В.В.Гонгальский





