Ахиллово сухожилие является одним из самых крупных сухожилий человека. Оно образуется в результате слияния брюшек икроножной мышцы и камбаловидной мышцы, которые соединяются в единое сухожилие. Это сухожилие прикрепляется к бугру пяточной кости и довольно просто прощупывается через подкожно-жировую клетчатку. Между поверхностью пяточной кости и сухожилием имеется слизистая сумка, предназначенная для уменьшения трения между костью и тканью сухожилия. Иногда, после травм эта сумка может воспаляться. В этом случае возникает бурсит ахиллова сухожилия.
![]() |
![]() |
На представленных рисунках: схематическое изображение голени (Рис 1), и изображение ахиллова сухожилия в норме при магнитно-резонансной томографии голеностопного сустава (Рис 2), указано стрелкой.
Несмотря на высокую степень прочности сухожилия, разрывы ахиллова сухожилия очень часто встречаются в спортивной практике, особенно в видах спорта, где преобладают бег и прыжки (футбол, волейбол, баскетбол, теннис, легкая атлетика).
Причины разрыва ахиллова сухожилия
Основными причинами разрыва ахиллова сухожилия является прямая травма (удар по сухожилию) и непрямое воздействие резкого сокращения трехглавой мышцы голени, при внезапной резкой нагрузке на сухожилие (например, при старте у спринтеров, в момент отрыва ноги от земли). При разрыве сухожилия на задней поверхности нижней трети голени возникает кровоизлияние, отек. Подошвенное сгибание стопы отсутствует (пациент не может встать «на носочки»).
![]() |
![]() |
Чаще место разрыва сухожилия находится на расстоянии 2—5 см от места прикрепления его к пяточной кости, что обусловлено наиболее слабым кровоснабжением данного участка сухожилия. (Рис 3).
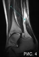
На МР-томограмме показан разрыв ахиллова сухожилия: сухожилие в нижних отделах утолщено, выше стрелки, белым визуализируется место разрыва, в виде локального отека. (Рис 4).
У лиц среднего и пожилого возраста, проявляющих нерегулярную или чрезмерную физическую активность может наблюдаться тендинит ахиллова сухожилия (воспаление сухожилия).
Из лучевых методов диагностики рентгенография, при разрыве ахиллова сухожилия является малоинформативным исследованием, так как ткань сухожилия не задерживает рентгеновские лучи. Но в некоторых случаях, например при выявлении перелома костей голени, она может косвенно указывать на наличие травмы сухожилия. Наиболее информативными исследованиями в данном случае являются магнитно-резонансная томография (МРТ) и ультразвуковое исследование (УЗИ) голеностопного сустава и мягких тканей голени.
МРТ диагностика суставов дает возможность оценить состояние не только мягкотканых структур, но и состояние костной ткани, на предмет выявления ушибов кости, а также патологической перестройки и новообразований.
Доктор Балык А.И.
«Эффективным лечение может быть только при верном диагнозе». Или применительно к конкретному заболеванию: «Диагностика, лечение и реабилитация разрыва ахиллова сухожилия проводится в Центре «Меддиагностика».




