Рентген ліктьового суглоба у Києві в центрі Меддіагностика, лівий берег ✅. Мінімальне опромінення. Записатися на рентген ліктя ⏩ (044) 339-90-20
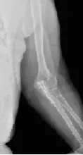
Обстеження призначене для вивчення рентгенівської суглобової щілини, структури і контурів суміжних решт плечової кістки і кісток передпліччя, обстеження в бічній проекції є обов’язковим при дослідженні ліктьового суглоба, так як тільки при рентгенографії в двох взаємно перпендикулярних проекціях можуть бути правильно оцінені зміни і в самому суглобі, і в суміжних відділах кісток.
Інформативність обстеження: На рентгенограмах визначаються дистальний відділ плечової кістки і проксимальні відділи кісток передпліччя, ліктьовий і вінцевий відростки ліктьової кістки, головка і шийка променевої кістки, ліктьового відростка і заднього відділу суглобової поверхні блоку плечової кістки, ліктьовий відросток ліктьової кістки, медіальний і латеральний надвиростки плечовий кістки, головка променевої кістки, рентгенівська суглобова щілина плечелоктевом суглоба.
Рентген ліктя призначають при різних захворюваннях суглоба і в випадках травми.
Ціни на рентген ліктьового суглоба
Цілі рентген діагностики ліктьового суглоба
Рентгенографія ліктьового суглоба – найшвидший і недорогий метод оцінки стану кісткових структур. Оскільки щільна кісткова тканина затримує рентгенівське проміння і добре візуалізується, для цієї діагностики не потрібно додаткового введення контрастної речовини.
Рентгенограми можуть підтвердити або виключити такі патологічні зміни:
- неправильно зрощені переломи;
- вивих чи підвивих ліктя, у якому суглобові поверхні зміщуються одна відносно іншої;
- запальні процеси, які можуть вказувати на артрит чи остеомієліт;
- дегенеративно-дистрофічні зміни структур ліктьового суглоба, які характерні для артрозу, остеопорозу та ревматичних хвороб;
- об’ємні утворення кісткової тканини, які можуть бути доброякісними чи злоякісними пухлинами.
Лікар за рентгенівським знімком може швидко визначити тип перелому після травми, наприклад після сильного удару, падіння на лікоть, сильного викручування або загину руки. У цьому випадку на картині рентгену ліктьового суглоба можуть бути виявлені різні пошкодження кісток, перелом плеча, перелом відростків ліктьової кістки, перелом Монтеджі (перелом ліктьової кістки в області ліктьового суглоба з одночасним вивихом променевої кістки) та інші.


