Рентген тазостегнових суглобів у Києві на Дарниці, лівий берег ✅. Запис на рентген кульшових суглобів у дітей та дорослих ⏩ (044) 339-90-20.
При травмі або появі болю в області тазу або верхньої третини стегна, людина звертається до лікаря-травматолога зі скаргами на біль, погану рухливість і т.п. Тазостегновий (або кульшовий) суглоб, або, скорочено ТБС – це зчленування, утворене вертлюжної западиною тазової кістки і суглобової поверхнею головки стегнової кістки. Існує кілька методик обстеження ТБС, які може призначить лікар для постановки діагнозу: узі, рентген тазостегнового суглоба, МРТ, КТ. Хоч вони і різняться між собою технічно, але однаково ефективно спрямовані на виявлення природи болю. Щоб пройти рентген кульшових суглобів в Києві, а також інших досліджень широкого спектру, Ви завжди можете звернутися в клініку Меддіагностика.
Показання для рентгену тазостегнового суглоба
Рентгенографія кульшових суглобів проводиться для виявлення патологічних процесів в самому суглобі і прилеглих тканинах. До таких процесів відносяться:
- Вивих тазостегнового суглоба у дорослих – досить рідкісне явище, тому що суглоб захищений потужним м’язовим каркасом. Може статися тільки при дуже сильному травматичному впливі. Характеризується болем як при ходьбі, так і в спокої, набряком в місці травми
- Вивих тазостегнового суглоба у дітей – може статися при падінні або іншому травматичному впливі. Аналогічні симптоми, як і у дорослих.
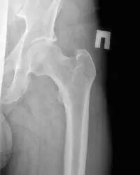
- Перелом шийки стегна – найчастіша травма. В основному, превалює у людей похилого віку. Пов’язано з остеопорозом і зниженням міцності кісткової тканини. Відзначається болем як при ходьбі, так і в спокої, набряком в місці травми, великої гематомою. На рентгені тазостегнового суглоба буде видно лінію перелому в області шийки стегна, а також зміщення відламків. Проводиться як в одній (прямий) проекції, так і в двох (прямий і аксіальної з відведенням хворого стегна, з метою виявлення більш точного розташування уламків).
- Природжений вивих стегна або Дисплазія тазостегнового суглоба (кульшових суглобів) – це патологічний розвиток суглоба, що приводить до вивиху головки стегнової кістки. Як правило, робиться рентгенографія обох тазостегнових суглобів для порівняння і постановки діагнозу. Рекомендовано проводити її з 3-х місячного віку. Проводиться як в одній (прямий) проекції, так і в двох (прямий і аксіальної, або, як її ще називають, по Лаунштейну) для вимірювання об’єму руху стегна, і вибору більш точної схеми лікування.
- Артроз, коксартроз, деформуючий артроз – дегенеративно-дистрофічних захворювань, що зустрічається переважно у людей середнього та похилого віку. Бувають як в одному суглобі, так і в обох. Для діагностики в основному виробляється рентгенографія кульшових суглобів разом з кістками таза.
- Ендопротезування кульшового суглоба – установка штучного протеза на місце суглоба. Робиться в одній (прямий) проекції або в двох (прямий і аксіальної, або, як її ще називають, по Лаунштейну) для візуалізації стану шийки стегнової кістки, і вибору більш точної схеми операції.
Протипоказання і обмеження
Прямих і явних протипоказань для рентгена тазостегнових суглобів – немає. Для захисту пацієнта від розсіяного залишкового випромінювання при проведенні дослідження використовуються спеціальні засоби індивідуального захисту (фартухи, коміри, накладки на гонади), якими комплектуються всі рентген-кабінети. При проведенні рентгенографії ТБС в рентген-апараті передбачена можливість регулювати поле опромінення для точного прицілювання на область дослідження без порушення інших частин тіла. Також в самому рентген-апараті передбачені настройки як для дорослих, так і для дітей. Навіть для вагітних жінок і плоду, рентген тазостегнових суглобів не несе ніякої небезпеки, при використанні засобів захисту.
Картина, видима при рентгені ТБС
Знімки робляться в двох проекціях: передньо-задній (прямий) і бічний. В першу чергу на рентгенограмі лікар-рентгенолог бачить анатомічна будова кісток таза і тазостегнового суглоба
- тазові кістки (крила таза; клубова кістка, седалищная кістка, лобковий симфіз – вони утворюють вертлюжної западини, яка є місцем прикріплення головки стегнової кістки до тазу)
- крижі
- ручку
- голівка стегнової кістки
- шийка стегнової кістки
- тіло стегнової кістки
У процесі розшифровки рентгена тазостегнових суглобів, лікар оцінює стан кісток таза; головки, шийки і тіла стегнової кістки.
Підготовка до рентгену кульшових суглобів
Підготовка до рентгену тазостегнових суглобів не потрібно. Кишечник, а також інші органи, які можуть заважати якісної візуалізації рентгенограм, в процесі зйомки на область суглобів не накладаються.
Зберігання рентгенівських знімків
Рентгенограми в особливих умовах зберігання не потребують. Досить – перешкоджатиме потраплянню прямих сонячних променів, не нагрівати і не тримати в приміщенні з підвищеною вологістю.
Якщо Вас турбують больові відчуття в області таза, обмеження руху з боку тазостегнового суглоба, або Ви отримали травму, звертайтеся в нашу клініку Меддіагностика. Тут Ви зможете проконсультуватися у лікаря-ортопеда, а також отримати весь спектр діагностичних процедур. І, якщо Ви шукаєте можливість зробити рентген тазостегнових суглобів в Києві, то в нашій клініці ви зможете це зробити без черг, і в комфортних умовах, як за попереднім записом, так і в порядку живої черги. Клініка має новітньої технічною базою, представленої цифровим рентгенівським апаратом японського виробництва, з можливістю як друку знімків на плівці, так і записом на диск для подальшого консультації лікарем-фахівцем як в стінах клініки, так і за її межами.
Подивитися ціни на рентген тазостегнових суглобів

