Ультразвукове дослідження органів малого таза у чоловіків. До органів малого таза у чоловіків відносяться такі органи як передміхурова залоза з насіннєвими бульбашками, сечовий міхур з простатичної частиною уретри, куперови залози, пряма кишка, судинно-нервові пучки, лімфатичні вузли з протоками.
З точки зору частоти виникнення патологічних змін особливий інтерес представляє передміхурова залоза в зв’язку з неухильним зростанням захворюваності і смертності, особливо у віці після п’ятдесяти років. У структурі загальної захворюваності патологія передміхурової залози займає лідируючі позиції.
Статистичні дані підтверджують той факт, що в структурі захворюваності на злоякісні новоутворення рак простати займає 2-е місце, випередивши рак легенів і коллоректальний рак, а після 60-ти-основною причиною смертності від онкологічних захворювань. Дані останніх досліджень говорять про те, що найчастіше саме в передміхуровій залозі виникають патологічні стани.
До таких станів відносяться такі захворювання як доброякісна гіперплазія передміхурової залози, рак простати, запальні процеси органів малого, еректильна дисфункція.
Найбільш доступним методом дослідження органів малого таза у чоловіків, які володіють великою інформативністю, є ультразвукове дослідження, а в поєднанні з визначенням онкомаркера ПСА показує високу частоту виявлення патологічних змін на ранніх стадіях захворювання, що в свою чергу збільшує загальну виживаність. Дослідження проводиться за допомогою конвексного датчика з високою роздільною здатністю, яке має особливу форму для максимально комфортного і щадного проведення процедури для пацієнта.
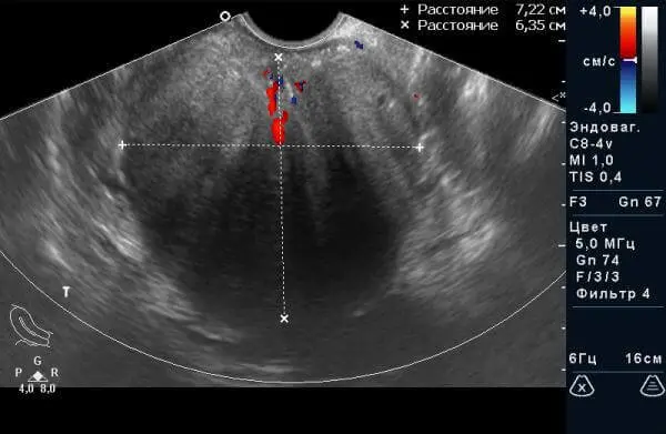
Рис.1 Рак передміхурової залози у вигляді кальцинованого ділянки з деформацією контурів і асиметрією.
Серед доброякісних захворювань передміхурової залози лідирують запальні процеси (гострий і хронічний простатит, везикуліт, куперит, цистит, уретрит) і гіперпластичні (гіпертрофічні процеси) в передміхуровій залозі (стара назва »аденома»).
Дивіться також: УЗД органів малого таза
Саме ці зміни найчастіше є винуватцями виникнення неприємних відчуттів при сечовипусканні, часті походи в туалет породжують почуття скутості в часі і просторі, появи комплексів, невдач в інтимній сфері, що до всього іншого ще і викликає розлади психіки. Тому дуже важливо, вчасно виявити зміни, правильно їх інтерпретувати, що забезпечить надійний фундамент, високу ефективність подальшого лікування. Вчасно виявлені зміни в простаті дозволяють прибрати проблему, не вдаючись до оперативного лікування
Рис.2. Доброякісна гіперплазія передміхурової залози (до лікування).
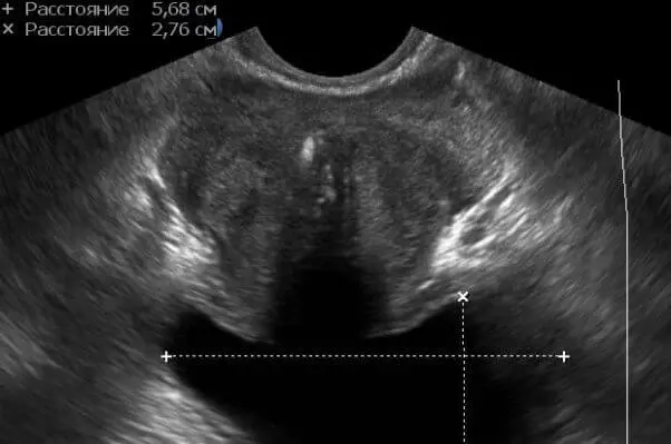
Мал. 3 Той же пацієнт через 14 днів від початку консервативної терапії.
Досить частою причиною дискомфорту, неприємних відчуттів, змін в еректильної функції є перенесені раніше запальні процеси, що призвели до структурних змін в тканинах у вигляді утворилися кальцинатов, рубців, щільної фіброзної тканини, кіст, наявність яких зводить нанівець адекватну медикаментозну терапію. При комплексному підході дані зміни якщо не зникають, то значною мірою зменшуються
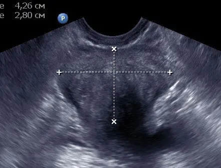
Мал. 4 Ділянки кальцинації центральної і парауретральной зон з щільною акустичної тінню.
Мал. 5 Зникнення ділянок кальцинації після пройденого курсу лікування.
У нашій клініці проводиться повний цикл рішення урологічних проблем, починаючи від необхідних діагностичних процедур для постановки точного діагностика до оцінки результатів після проведеного консервативного лікування з розробкою індивідуальної схеми профілактики.
Подивитися ціни УЗД органів малого таза у чоловіків в Києві >>





