Лікування деяких ревматичних запалень в суглобі (артрит) можна прискорити оптимізуючи власні протизапальні системи організму через вплив на вегетативну (автономну) нейромережу людини.
Ревматичні захворювання суглобів – це постійний (хронічний) біль в суглобах. Лікування pевматичних захворювань має свої особливості. Вони найчастіше проявляються у вигляді симптомів запалення суглобів, судин, шкіри, тканин внутрішніх органів, залоз внутрішньої і зовнішньої секреції, в ряді випадків – запалення нервової системи.
Приклад ураження суглоба при ревматоїдному артриті. Можна бачити проліферацію (розростання) синовіальної оболонки суглоба.
Тактика лікування ревматичних захворювань визначається тим, що причиною запалень є вроджена схильність до аутоімунних процесів.
Перелік ревматичних хвороб, які діагностують і лікують в Центрі Меддіагностика читайте нижче.
Тактика лікування ревматичних захворювань
Традиційна ревматологія лікує запалення в суглобах зазвичай використовуючи переважно чотири групи препаратів:
- протизапальні нестероїдні препарати, типу діклофенк, німесулід,
- стероїдна терапія (пігулки, блокади чи локальна стероїдна терапія),
- базісну терапію, яка зменшує запалення за рахунок впливу на імунну систему. Приймають препарати ці протиревматичні довго, навіть роками. Нажаль всі вони мають значні побічні впливи з боку шлунку, кишківнику, печінки, нирок…
- імунобіологічна терапія яка гальмує аутоімунні процеси.
Чи можна вилікувати артрит без медикаментів?
Як з’ясувалося, існують альтернативні достатньо ефективні підходи до лікування болів і запалень в суглобах (артритів).
Як показала практика, традиційні східні методи лікування здатні зняти запалення навіть без ліків, чи з значно меншим і тимчасовим їх використовуванням.
Нижче один з багатьох прикладів немедикаментозного лікування ревматоїдного артриту (РА). Відгук однієї з пацієнтів РА, яка на момент звернення в Центр хворіла і лікувалася вже 12 років:
Ревматологи и лечение суставов в Украине с 2009 года. Масса процедур, лекарств, врачей самых известных частных клиник. Состояние только ухудшалось.
Поездки в Индию (1 раз в год и так 3 раза подряд) — по приезду хорошо, но через некоторое время суставы болели вновь…
Лечение в Израиле, 7 поездок с 2013-2015 гг, у одного из 3-х самых маститых местных докторов по данному профилю. Самочувствие значительно улучшилось, суставы не сильно беспокоили, но приходилось принимать ОЧЕНЬ ДОРОГИЕ ТЯЖЕЛЫЕ И ТОКСИЧНЫЕ ЛЕКАРСТВА, которые имеют много побочных эффектов. Да и анализы не улучшались, а, наоборот…
И тут счастливый поворот судьбы — знакомство с центром Меддиагностика и ее руководителем, профессором Гонгальским Владимиром Владимировичем. Он предложил АЛЬТЕРНАТИВНЫЙ СПОСОБ лечения.
Итак, 2 месяца лечения (1-2 раза в неделю).
Результат: хожу раз в 10 больше, чем раньше, анализы крови в норме!!! Никто за 10 лет не смог снизить СОЭ, только профессор ВВ.Гонгальский добился такого потрясающего результата!
Да, консультация у такого профессионала не может стоит дешево. Но это намного дешевле, чем поездки за границу.
Очень приятное отношение ко мне, как к пациенту.
И главное, никакой «химии» (только иглоукалывание) + явное улучшение моего здоровья и самочувствия. Теперь обращаюсь к доктору периодически, для профилактики и поддержания хороших показателей здоровья.
Спасибо огромное, Владимир Владимирович!
К слову, и другие врачи клиники, с которыми я контактировала за это время, были со мной тактичны и старались помочь. Благодарю и их.Автор: Наталия
Дата посещения клиники:Дата посещения клиники:май 2018 — июнь 2019
Та ж хвора через 6 років
Спешу в очередной раз поблагодарить руководителя медицинского центра, врача от бога, Владимира Владимировича Гонгальского. Лечилась много лет от ревматоидного артрита. Не помогли мне ни в Индии, ни в Израиле (легче стало, но боли сохранялись, ревмопробы были постоянно повышены). Повезло попасть на прием к Владимиру Владимировичу 6 лет назад, который своими чудесными иголками снял воспаления рук и ног. Недавно сделала анализы-до сих пор есть эффект от его лечения. Мне не нужно принимать дорогие сильнодействующие импортные лекарства, которые наносят сильный побочный вред всему организму. Спасибо Вам, Владимир Владимирович!
Автор:Наталія Л
Дата посещения клиники: март 2025
До безмедикаментозного лікування з використанням традиційних східних методів хвора 5 років приймала 17.5 мг метатрексату на тиждень (базисна терапія ревматоїдного артриту) разом з фолієвою кислотою + арава.
Запропоновані безмедикаментозні підходи до лікування покращили її стан, зняли запалення і дозволили поступово відмовитися від прийму метатрексату і арави. При цьому вдалося знизити до норми наступні показники запалення знизилося майже о норми. До лікування ШОЕ будо 33, СРБ –48, РФ – 384. Минуло.
Як це працює
Зазвичай просте травматичне запалення проходить через 5-7 днів. Коли, наприклад, підвертається нога, то запалення в гомілковостопному суглобі турбує приблизно тиждень –термін спрацьовування власних протизапальних механізмів організму. Це приклад неушкодженої роботи власних протизапальних систем.
В організмі людини існують органи, яку самі (!) контролюють запалення в тканинах (в тому числі і в суглобах). Ці органи підпорядковуються автономній (вегетативній) нейромережі.
Коли власні «протизапальні механізми» не спрацьовують, запалення може утримуватися значно довше і, навіть, все життя (це стандарт перебігу ревматичних хворіб). Тобто хвороба стає хронічною.
УВАГА: Кожний хронічний артрит поступово руйнує суглоб, в першу чергу хрящ. Хронічний артрит може перейти в артроз – інвалідизуюче захворювання, яке може вимагати хірургічної заміни суглоба. Тому краще запалення суглобів лікувати своєчасно.
Органи, які самостійно можуть побороти запалення суглобів
Існують органи, які від народження забезпечують протизапальну дію. В першу чергу це:
- наднирники, які синтезують протизапальний власний кортизол,
- органи гепатоліенальної системи, які знешкоджують токсини і коригують склад крові,
- деякі відділи автономної нервової системи, переважно холінергічної дії (блукаючий нерв), які регулюють функцію перших двох (як наднирників, так селезінки з печінкою) тощо.
Практика показала, що цілеспрямований вплив на роботу цих органів голкотерапії (чи аналогів голкотерапії) може мати протизапальний ефект. З’ясувалось, що безмедикаментозним впливом стало можливим лікувати такі складні захворювання, як, наприклад, ревматоїдний артрит (див. відгук вище).
Довідка: Питання в коректності підходів з урахуванням певних принципів голкотерапії. Підготовка спеціаліста по голкотерапії (освоєння цих методів) згідно думки фахівців Сходу в середньому триває приблизно 18 років з урахуванням постійного використання методу.
Що треба зробити для ефективного впливу на власні «протизапальні» органи людини
Для ефективного лікування ревматичних запалень в тканинах і суглобах, достатньо провести діагностику відхилень автономної нейромережі в якій блукаючий нерв несе вкрай важливу функцію. Проведення відповідної корекції цих відхилень відновлює вегетативну (автономну) іннервацію в тому числі органів, що несуть протизапальну функцію**.
**діагностику відхилень автономної нейромережі людини проводять за допомогою СВТ-тесту (стандартний вегетативний тест).
Що виникає при відхиленнях в роботі автономної нейромережі
Таким чином, збій в роботі автономною нейромережі призводить до порушення регуляції (іннервації) органів. Наприклад, в органах які забезпечують в протизапальний ефект щодо суглобів включно. Запалюється сполучна тканина, яка пронизує весь організм: суглоби, м‘язи, судини, нервова система, кісткова тканина, залози внутрішньої і зовнішньої секреції, тощо.
Оптимізація роботи автономною нейромережі призводить до поліпшення роботи органів, які несуть протизапальну дію.
Лікує такі хронічні запалення лікар ревматолог. Хоча ортопеди в своїй практиці також бачать запалення суглобів і можуть вирішувати ці проблеми. Найчастіше біль, пов’язаний з запаленням лікується без хірургічного втручання.
Хто лікує ревматичні захворювання
Обладнання Центру для діагностики
Стосовно медикаментозної терапії. На початкових стадіях лікування запалення в суглобів з використанням акупунктури (чи її різновидів типу фізіопунктури) може використовуватися медикаментозна терапія. Але в значно зменшених дозах і тільки тимчасово, що суттєво зменшує токсичне навантаження на організм.
Доктор медичиних наук, В.В.Гонгальський
Перелік ревматичних захворювань
Ревматичних захворювань більше ніж 100 (без урахування численних локальних проявів, наприклад, при болях в суглобах). Деякі з них більш поширені:
- Артрити (болі в суглобах),
- Артроз, остеоартроз (болі в суглобах),
- Остеохондроз (біль у хребті),
- Ревматоїдний артрит,
- Хвороба Бехтерєва,
- Псоріатичний артрит,
- Подагра,
- Ревматизм,
- Системний червоний вовчак,
- Реактивний артрит (болі в суглобах, хребті),
- Системна склеродермія,
- Вузлова еритема,
- Антифосфоліпідний синдром,
- Васкуліти (запалення судинної стінки, атеросклероз),
- Тунельні синдроми (біль в руці, біль в нозі, в кисті, в нозі, в потилиці)
та інші.
Діагностика в ревматології
- Облік клінічних проявів, консультація ревматолога або суміжного фахівця,
- Апаратна діагностика (УЗД, МРТ, рентген в залежності від стадії захворювання),
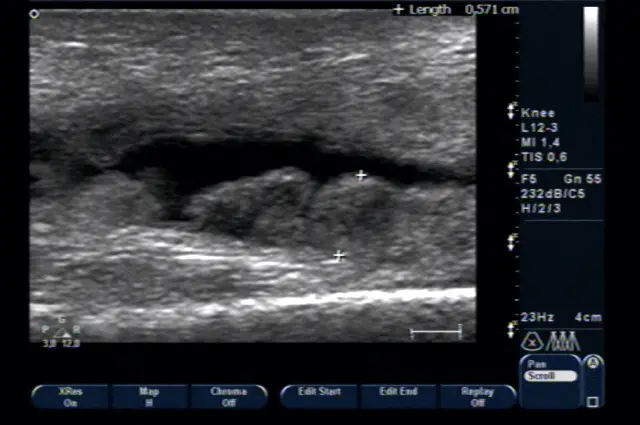
- УЗД суглобів дозволяє встановити ревматологічний діагноз за станом синовіальної оболонки суглоба. Наявність розростання синовії (проліферації) – 100% ознака його ревматичного ураження (фото нижче).
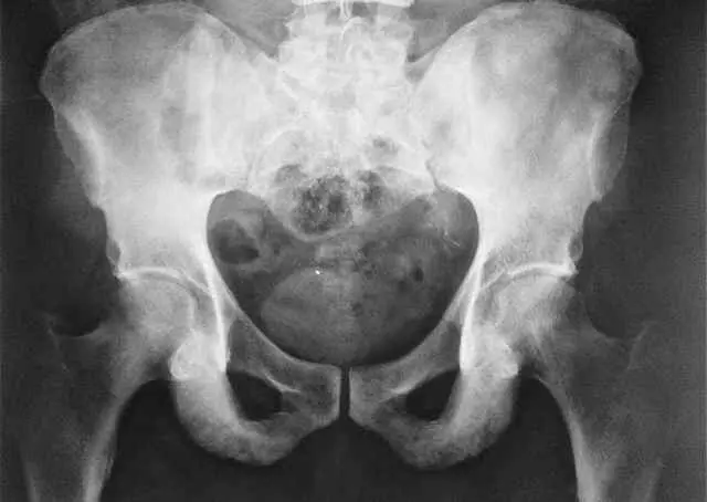
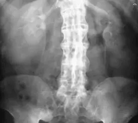
Найбільш показовою ознакою, наприклад, при хворобі Бехтерєва, є не тільки клінічний огляд, але і МРТ клубово-крижових зчленувань з використанням спеціальних режимів.
- Досить показовим є рентген при хворобі Бехтерєва.

- Лабораторна діагностика – обов’язковий сегмент ревматичної діагностики
Тактика лікування ревматичних захворювань визначається встановленим діагнозом.
Крім загальноприйнятого протизапального лікування, використовується стероїдна терапія системно, локально, пульсотерапія, базисна терапія та ін.
Для пацієнтів з ревматичними захворюваннями суглобів в Центрі «Меддіагностика» передбачено широкий спектр лікувальних та реабілітаційних заходів. Це фізіотерапія, ударнохвильова терапія, пульсотерапія, внутрішньосуглобова замісна терапія (внутрішньосуглобове введення препаратів гіалуронової кислоти, в тому числі – під контролем УЗД), плазматерапія, корекція синтезу власної синовіальної рідини суглоба А-ДСМ-терапія, а також широкий спектр інших ефективних методів лікування і реабілітації, спрямованих на відновлення функції суглоба.
Особливе місце в лікуванні ревматичних захворювань займає еферентна терапія (плазмафорез, плазмасорбція), яка дозволяє видалити з крові аутоімунні комплекси. Ці аутоантитіла є суттю ревматології і ключовою причиною розвитку запалення сполучної тканини.
Лікування ревматичних захворювань вимагає спостереження ревматолога з метою оцінки стану пацієнта, відповідного коригування призначень та контролю показників крові.
Ревматичні захворювання діагностують, лікують і проводять реабілітацію в відділі ревматології Центру «Меддіагностика».



