Цифровий рентген шийного відділу хребта з функіональними пробами можна зробити в Києві в центрі Меддіагностика ✅ Записатися на рентген ⏩ (044) 339-90-20
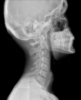
Шийний відділ хребта складається з 7 хребців. За розміром, вони найменші в порівнянні з іншими хребцями хребетного стовпа, так як відчувають найменше навантаження. Мають тіло і остисті відростки. Перший хребець «Атлант» кріпиться до основи черепа. Тіла, як такого не має: це специфічне кільце, утворене з’єднаними між собою дугами.
Другий хребець попереду має кістковий виріст «Зуб». Він фіксується зв’язками в кільці «атланта» і працює віссю обертання хребця. Завдяки цим хребців, ми можемо робити всі рухи головою. Через отвори в поперечних відростках хребців шийного відділу хребта проходять шийні вени і артерія.
Для діагностики патологій, пов’язаних з шийним відділом, в основному застосовуються такі дослідження, як рентген і МРТ. Рентген шийного відділу хребта частіше призначають для візуалізації тіл хребців, міжхребцевих дисків, хребетних отворів, а також біомеханіки взаємодії хребців між собою.
Показання
Основними причинами скарг, пов’язаних з шийним відділом хребта, є вертеброневрологічні і травматичні симптоми.
До вертеброневрологічних слід віднести:
- вроджені або придбані порушення вигину в хребетному стовпі (лордоз)
- хрускіт і утрудненість руху шиєю
- головні болі, мігрені, шум у вухах
- проблеми зі сном, слухом, зором і т.п.
- больовий синдром
- оніміння та болі в плечах і верхніх кінцівках
До травматичних, відповідно, відносяться:
- больові синдроми в результаті травми
- зміщення і пошкодження тіл і остистих відростків хребців
Для глибокого і детального вивчення стану шийного відділу, широко застосовується таке дослідження, як рентген шийного відділу хребта з функціональними пробами. Дана процедура дозволяє вивчити нестабільність тіл хребців, в результаті якої з’являється больовий синдром і утрудненість в русі. Це допомагає в діагностиці та лікуванні процесу.
Що показує рентген шийного відділу
За рентген-знімків шийного відділу з функціональними пробами, лікар-рентгенолог може судити про:
- Стані тіл хребців:
- зміна форми
- наявність або відсутність остеофитов, додаткових тіней
- розрідження кісткової структури
- Висоті тіл хребців
- Висоті міжхребцевих дисків
- Плавності контурів хребетного стовпа при згинанні і розгинанні (відсутність або наявність ступенеобразно деформації)
- Зсув тіл хребців відносно один одного
Особливості проведення процедури
Рентген шийного відділу хребта з функціональними пробами – це досить проста процедура. Якийсь підготовки для її проведення не потрібно. Все, що потрібно, просто зняти верхній одяг і прикраси (сережки, ланцюжок).
Робиться вона в 4-х проекціях. Перші дві – це звичайний рентген шийного відділу в 2-ух проекціях (пряма і бічна). Для відведення верхніх частин плечових кісток, які можуть дати тінь на 6-7 хребці, можливе використання обважнювачів для рук.
Далі проводиться безпосередньо функціональний рентген шийного відділу хребта. Для цього пацієнт, залишаючись боком до приймача рентген-апарату, нахиляє голову вперед, намагаючись підборіддям максимально дотягнутися до грудей. Залишається в цьому положенні, а рентгенолог виробляє знімок.
Після обстеження з зігнутою шиєю, пацієнт, не змінюючи положення, повинен максимально розігнути шию назад. У цьому положенні робиться черговий знімок в бічній проекції. Після закінчення процедури, пацієнт одягається і очікує виробництва рентгенограм і опису дослідження.
Рентгенографія з функціональними пробами
Для своєчасного виявлення патології в шийному відділі хребта, пацієнт, насамперед, повинен звернутися до лікаря-фахівця. У клініці Меддіагностика працюють вертеброневролога високої кваліфікації, які завжди допоможуть Вам з діагностикою та лікуванням. Це проходить в одній будівлі, на сучасній апаратурі, призначеної для діагностики та лікування проблем, пов’язаних з шийним відділом. Лікар обов’язково призначить Вам обстеження, в число яких буде входити МРТ і рентген шийного відділу з функціональними пробами. Рентгенвідділення клініки оснащено новітнім цифровим рентген-апаратом японського виробництва. Цей рентгенівський комплекс працює з мінімальним рентгенівським опроміненням пацієнта, а також скорочуються терміни обробки і виведення зображення. При проведенні рентгена шийного відділу хребта,
Подивитися ціни на Рентген шийного відділу хребта




