МРТ суглобів – сучасний метод діагностики. Він дозволяє уточнити стан м’яких і твердих тканин суглобів.
Суглоб складається з двох і більше кісток. Кістки з’єднані м’якими тканинами: капсулою суглоба з синовіальною оболонкою і зв’язками. Суглоб приводиться в рух завдяки спеціальному набору м’язів. Суглобові поверхні мають специфічну будову, яка дозволяє здійснювати певні рухи. Кожен суглоб має специфічні, характерні лише для цього суглоба рухи.
Порушення функції суглоба або біль в суглобі змушує пацієнта звернутися до лікаря. Діагностика стану суглобів – тонкий клінічний процес. Лікар оглядає суглоб, проводить спеціальні проби, первинно уточнює характер ушкодження суглоба і переходить до апаратної діагностики.
Один із сучасних і найбільш інформативних методів діагностики стану суглобів – є МРТ.
МРТ метод діагностики суглобів заснований на застосуванні магнітного поля. Ми живемо в магнітному полі Землі. Тому не слід боятися МРТ дослідження. Магнітне поле, яке використовується для дослідження суглобів, трохи перевищує магнітне поле нашої планети. Таке дослідження нешкідливе і ніяк негативно не впливає на здоров’я людини.
МРТ колінного суглоба
МРТ коліна дозволяє побачити такі зміни, як розрив або розшарування меніска, розрив або надрив (травму) зв’язок, травму хряща, запалення кістки і в підхрящевій пластині, запалення жирового тіла Гоффа та ін. МРТ колінного суглоба дозволяє побачити артрит (накопичення рідини в колінному суглобі).
Артроз при МРТ видно, але частіше для цього використовують рентген зважаючи на більшу інформативність при діагностиці артрозу коліна. Читати більше про показання, протипоказання і що можна обстежити в колінному суглобі.
Сучасна МРТ діагностика може, наприклад, допомогти уникнути операції на суглобі
МРТ плечового суглоба
Плечовий суглоб – найбільш доступний для дослідження. Багато його структури можливо пропальпувати. При цьому є можливість дослідити рухливість плеча і його м’які тканини.
Разом з тим, МРТ діагностика плечового суглоба є останнім і вкрай важливим етапом у виборі тактики лікування. Наприклад, навіть у молодих людей можливі вельми своєрідні знахідки, які кардинально змінюють уявлення лікаря про характер патології і змушують його змінити підходи до лікування.
На знімку приведена картина МРТ плечового суглоба (Київ, діагностичний Центр «Меддіагностика») у 16 річної пацієнтки, яка тривалий час скаржилася на біль в плечовому суглобі. І тільки МРТ дозволило виявити грізне захворювання плечової кістки – пухлина.
Читати про МРТ діагностику плечового суглоба більше.
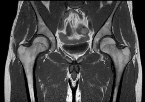
МРТ кульшового суглоба
Без МРТ важко обійтися при діагностиці болю в області тазостегнового суглоба. Оскільки більшість скарг з боку тазостегнового суглоба – це біль. Але, біль може бути не тільки наслідком артрозу тазостегнового суглоба, але і його запалення. Якраз всі запальні процеси прекрасно видно на МРТ кульшового суглоба. Разом з тим, не можна забувати, що рентген – це «золотий стандарт» у вирішенні питання наявності та ступеня артрозу тазостегнового суглоба.
МРТ гомілковостопного суглоба
Гомілковостопний суглоб нерідко пошкоджується при незручному русі в момент ходьби або бігу. Гомілковостопний суглоб має складну будову, оскільки складається з трьох кісток.
Для дослідження гомілковостопного суглоба використовують не тільки рентген, але і МРТ. Причому, саме МРТ гомілковостопного суглоба допомагає встановити гранично точний діагноз.
МРТ ліктьового суглоба
Ліктьовий суглоб, як і гомілковостопний, має складну будову, оскільки формується з трьох кісток: плечової, ліктьової і променевої.
Для повноцінного дослідження проводять огляд, клінічне тестування. Ці дослідження проводить лікар ортопед-травматолог або ревматолог . Після чого проводять МРТ ліктьового суглоба. Але, перед МРТ дослідженням потрібно провести рентген ліктьового суглоба . Особливо при його травмі.
Читати докладніше про МРТ ліктьового суглоба .
МРТ лучезап’ястного суглоба
МРТ лучезап’ястного суглоба – одна зі складних маніпуляцій. Сам суглоб складний.
Більш того, для дослідження лучезапястного суглоба потрібна спеціальна МРТ котушка (це – частина МРТ апарату, яка призначена спеціально для МРТ дослідження лучезапястного суглоба і кисті ). Повний набір котушок, включаючи котушки для дослідження лучезапястного суглоба і кисті є в Центрі «Меддіагностика».
МРТ кисті
Ексклюзивне МРТ дослідження, особливо важливе при травмі кисті. Читати більше про МРТ кисті .
Провести МРТ дослідження будь-якого суглоба можна в Києві, в Центрі «Меддіагностика»: в Дарниці (Дніпровський район), в 200 метрах від метро Дарниця.







