Цифровий рентген грудного відділу хребта у Центрі Меддіагностика на Лівому березі біля метро Дарниця. Досвідчені лікарі, уважний персонал. Запис на рентген ☎ (096) 199-25-81.
Хребет людини – важлива складова частина опорно-рухового апарату. Існує багато способів досліджень для діагностики патологій хребта: рентген, МРТ, УЗД.
Основним способом розглянути будова кісткової тканини тіл хребців, їх форму, біомеханіку, є рентген-дослідження. У даній статті ми розглянемо грудний відділ хребта. Він складається з 12 хребців. Усередині них укладений кістковий мозок, з боків до хребців кріпляться задні частини ребер (передніми кінцями вони зростаються з кісткою грудини) все разом це утворює грудну клітку, в якій знаходяться легені й серце. Також через хребетні отвори проходять кровоносні судини і нервові волокна.
Щоб пройти рентгенологічне дослідження грудного відділу хребта в Києві, а також інші діагностичні заходи, Ви завжди можете звернутися в клініку Меддіагностика. Клініка має в своєму розпорядженні сучасної цифровою апаратурою з мінімальною рентгенівської навантаженням на пацієнта. Також штат Меддіагностика укомплектований лікарями-фахівцями вищої категорії, до яких Ви можете звернутися з Вашими скаргами.
Показання
Лікар призначає рентгенографію грудного відділу хребта для діагностики та візуалізації таких патологій як:
- патології, пов’язані з кісткової і хрящової тканиною (остеохондроз, спондильоз, грижі міжхребцевих дисків, спондилоартроз) і больові, а також неврологічні симптоми, які супроводжують ці зміни
- травми хребта (на предмет переломів тіл хребців)
- вроджені або придбані викривлення хребта (кіфоз, сколіоз, гіпо- або гіперлордоз) – дуже важливо, за допомогою рентгена грудного відділу, визначати ці викривлення у дітей на ранній стадії.
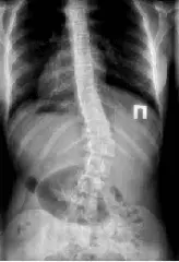
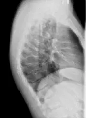
Рентген грудного відділу робитися в 2-ух проекціях (в прямій та боковій), в положенні лежачи. А, в разі викривлення, для оцінки різниці в відхиленні хребетного стовпа, робляться знімки в одній проекції, стоячи і так само лежачи – це дає можливість судити про стабільність або нестабільність хребта.
Протипоказання і обмеження
Рентген грудного відділу хребта – це основний спосіб діагностики для точної постановки діагнозу. Вік і стать пацієнта не мають значення при призначенні цього обстеження. Не рекомендується, без життєвих показань (типу травми з можливим переломом), робити рентген жінкам під час вагітності, так як це може негативно позначитися на здоров’ї плоду і самої жінки. В іншому ж шкода від іонізуючого випромінювання зводиться до мінімуму за рахунок спец.средства індивідуального захисту, якими рентгенолог застосовує в процесі дослідження. Для додаткового захисту під час рентгену грудного відділу хребта, в рентген-апараті передбачена можливість центрувати рентгенівський пучок на цікаву для область без порушення навколишніх тканин. Також в самому рентген-апараті передбачені настройки, як для дорослих, так і для дітей.
Що показує
На рентгенограмі грудного відділу хребта лікар-рентгенолог бачить і оцінює:
- стан тіл хребців – в нормі не повинно бути тріщин, зсувів, зміни висоти між хребцями, змін форми тіл
- патології (є чи ні) в міжхребцевих дисках
- місця прикріплення ребер до хребців
- форму хребетного стовпа
Як проводиться дослідження
Процедура рентгена грудного відділу не займає багато часу.
Пацієнт повинен зняти верхній одяг (жінкам потрібно зняти бюстгальтер, так як на ньому багато дрібних деталей, які дадуть тіні на знімку).
Для проведення рентгенографії в прямій проекції, рентгенолаборант укладає пацієнта на спину на процедурний стіл. Випромінювач рентген-апарату направляється на досліджуваний місце, розміри поля опромінення ретельно фіксуються. Непотрібні для дослідження місця закриваються захисними фартухами.
Для проведення рентгена грудного відділу хребта в бічній проекції, пацієнт лягає на бік (який саме, особливої різниці немає). Руки відводяться від досліджуваної зони, ноги (для більшої зручності) згинаються в колінах і злегка підтискаються до тулуба.
При діагностуванні ступеня сколіозу призначається функціональна рентгенографія грудного відділу. Для цього робиться два знімки в прямій проекції:
- Стоячи – пацієнт стає спиною до приймача рентген-апарату, промінь центрируется на середню область грудей, робиться знімок.
- Лежачи – робиться так само, як і звичайний знімок в прямій проекції.
Отримане зображення рентгенолаборант передає на робоче місце лікаря-рентгенолога, де він зможе відкоригувати його яскравість і контрастність, і вже після цього зробити висновок і видати його разом з рентгенограммой, роздрукованої на плівці або в електронному вигляді на диску.
Якщо у Вас з’явилися болі і утрудненість руху в області спини, грудної клітки, оніміння і болі в м’язах і суглобах верхніх кінцівок, у Вас травма спини або ж Вам діагностували викривлення хребта, то завжди можете звернутися в клініку Меддіагностика для отримання діагностичних і лікувальних процедур. І, якщо лікар направив Вас на рентген грудного відділу хребта, або ж потрібен рентген грудного відділу дитині, то тут ви зможете це зробити в стислі терміни, А Ваш знімок Ви зможете забрати як на фізичному носії (плівці), так і в електронному вигляді на диску. Опис рентгенограми, за Вашим бажанням, може бути відправлено на електронну пошту.
Подивитися ціни на рентген грудного відділу хребта



