МРТ шиї (шийного відділу хребта) – це обстеження, яке показує стан однієї з найважливіших частин організму. Шия вміщує в себе життєво важливі органи – серце і легені.
МРТ шийного відділу показує хребет, горло, гортань, трахею, щитоподібну і паращитоподібну залози, кровоносні судини і т.і.
Але найбільш поширеним об’єктом обстеження при проведенні мангіто-резонансної томографії шиї є шийний відділ хребта. Обстеження показує стан не тільки шийних хребців, але і дисків. Як правило, поперечний переріз хребетного каналу вимірюється на рівні протрузії дисків, що є вкрай важливою інформацією для прийняття рішення щодо лікування. Слід зазначити, що ці показники важливі при МРТ-дослідженні будь-якого відділу хребта.
Обладнання для МРТ шиї, шийного та грудного відділів хребта

МР томограф 1.5 тесла
У систему успішно інтегровані найсучасніші технології, доступні для надпровідних магнітів із напруженістю магнітного поля 1.5 тесла.
Де можна зробити МРТ шийного відділу хребта в Києві?
Не знаєте, де зробити МРТ шиї в Києві? Фахівці лікувально-діагностичного центру «Меддіагностика» допоможуть вам у цьому. Ми володіємо усім необхідним обладнанням і висококваліфікованими фахівцями для швидкого і максимально точного обстеження.
Подивитися ціни на МРТ в Центрі Меддіагностика Київ»
Перевагою МРТ шийного відділу хребта є те, що можна дослідити стан спинного мозку. Це дає змогу вчасно виявити так звану мієлопатію (зміна структури спинного мозку, яка призводить до зміни функції).
Важливою особливістю шиї є те, що через неї проходять судини, які живлять головний мозок. Це сонна і хребетна артерії. Судини шиї є одним з об’єктів дослідження при МРТ шиї. Обстеження судин шиї, як правило, проводиться разом з судинами голови (МРТ голови і шиї).
На апараті Центру дослідити судини можливо обстежити без введення контрасту. По суті, ці судини є одним цілим і передбачають діагностику судин голови і шиї в одному пакеті.
Патологія шийного відділу хребта може призвести до порушення кровопостачання головного мозку та розвитку неврологічної патології. Тому МРТ шиї – це процедура не тільки для ортопедів і нейрохірургів, але і для неврологів. Невролог пов’язує дані МРТ шийного відділу хребта з клінічними ознаками і, таким чином, може встановити так звану топічну діагностику (порівняти рівень ураження нервової системи з рівнем змін у хребті).
Зміни в шийному відділі хребта можуть проявлятися болем, яка може поширюватися на плечі і руки. Також патологія шийних дисків, спондильоз хребців шиї або патологія суглобів шиї можуть викликати біль в грудній клітці ззаду.
Детальніше про біль в грудях, причини якого успішно діагностуються і лікуються в центрі Меддіагностика.
Якщо німіють або болять руки, перш за все, потрібно подумати про проблеми з шийним відділом хребта і провести МРТ шиї.
Детальніше: Біль у шиї, причини, діагностика, лікування.
Біль у шиї може бути наслідком патології не тільки хребта, але і м’яких тканин.
Тому МРТ м’яких тканин шиї є важливою складовою обстеження. Оцінюються паравертебральні м’язи і передня група м’язів.
Дивлячись на МРТ шиї, лікар уточнює структуру верхніх дихальних шляхів, їх прохідність, тканини що поруч.

Грижі такого розміру можуть не давати ніякої симптоматики. Тобто не супроводжуватися болем.
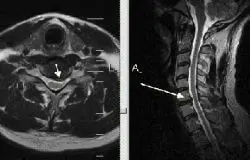
На знімку МРТ, який представлений нижче, видно не тільки нижній шийний відділ хребта, але і грудний. Вдале поєднання, так як шийно-грудне з’єднання часто є причиною больових відчуттів:

При тривалих і стійких больових проявах з боку хребта, крім МРТ шиї, іноді необхідно робити МРТ-обстеження грудного відділу.
Це необхідно для диференціальної діагностики. Наприклад, ураження грудного відділу хребта метастазом також може викликати біль у шиї:

Не можна забувати про те, що шия є найменш захищеною зоною тіла. Тому проблеми з шиєю зустрічаються досить часто.
Нерідко виникає питання, чи можна визначити нестабільність шийних хребців за допомогою МРТ? Відповідь – ні. Нестабільність шийних хребців визначається за допомогою рентгенографії (рентгенодіагностика) з функціональними пробами.
При яких скаргах треба робити МРТ шийного відділу хребта?
- головні болі, особливо в потилиці. Або системні головні болі;
- запаморочення при русі головою;
- обмеження рухів в шиї;
- біль, слабкість, оніміння в руках;
- в деяких випадках – погіршення зору;
- слабкість в ногах з клінічними ознаками шийної мієлопатії (патології спинного мозку на шийному рівні).
Стани і захворювання, при яких рекомендується робити МРТ шиї:
- Підозра на грижу міжхребцевого диска;
- Патологія кісткової тканини хребців;
- Новоутворення (нарости, пухлини);
- Біль в хребті і м’яких тканинах;
- Радикуліт і радикулопатії;
- Травми шиї і шийного відділу хребта.
Як проводиться МРТ дослідження ?
Обстеження триває в середньому від 7 до 15 хвилин, в залежності від обсягу обстеження. Можливо, на пару хвилин довше, якщо вам потрібно оглянути судини. На шию надівається спеціальна котушка, яка не заважає пацієнту. Завдяки котушці апарат МРТ знімає інформацію.
Чи небезпечна МРТ?
Ні. МРТ – це просто магнітне поле, яке трохи інтенсивніше, ніж природне магнітне поле Землі.
Протипоказання до проведення МРТ
Наявність кардіостимуляторів, імплантованих слухових апаратів (в середнє вухо), дентальних імплантатів і ендопротезів з металу, які намагнічуються.
Брекети, металеві предмети або осколки в корпусі, лінзи старого зразка з металевою основою і т.і.
Перед проведенням МРТ-обстеження кожен пацієнт заповнює спеціальну анкету з питаннями, які уточнюють можливі протипоказання і наявність предметів, які погіршать якість або будуть протипоказанням для проведення МРТ. Ці заходи необхідні для безпеки дослідження.




