Регулярне обстеження молочних залоз – запорука своєчасного виявлення патологій, які потім можуть переродитися в рак молочної залози. УЗД діагностика на ранній стадії виявляє хворобу і дозволяє швидко і якісно її вилікувати. Головне – своєчасно.
Діагностику (УЗД молочних залоз, УЗД гінекологічне, кольпскопія, лабораторія та ін.) і лікування проводить лікар-гінеколог вищої категорії з 30-річним стажем.
Медичний огляд відіграє основну роль у підтримці здоров’я в організмі. Важливий орган в жіночому тілі – це молочні залози. Регулярне обстеження молочних залоз – запорука своєчасного виявлення патології на ранній стадії, що дозволить виявити хворобу і швидко і якісно її вилікувати. Для профілактичного та діагностичного оглядів існує кілька основних видів обстеження:
- Огляд лікаря-мамолога (або хірурга) – для виявлення зовнішніх ознак патології або захворювання
- Мамографія – рентгенологічне дослідження
- УЗД молочних залоз – найпоширеніше обстеження за допомогою ультразвукового апарату.
Максимальним ефектом володіє комплексне обстеження, куди входять всі три види діагностики.
На базі клініки Меддіагностика знаходяться найсучасніші УЗД-апарати, так що якщо Ви хочете зробити УЗД молочних залоз в Києві, Ви завжди можете звернутися до нас у зручний для Вас час.
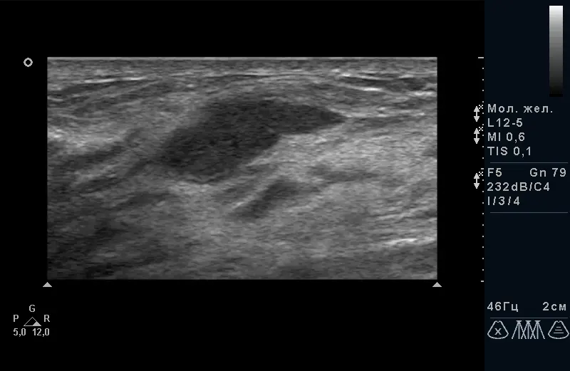
Рис.1. Фіброзно-кістозна мастопатія з кістозним компонентом. |
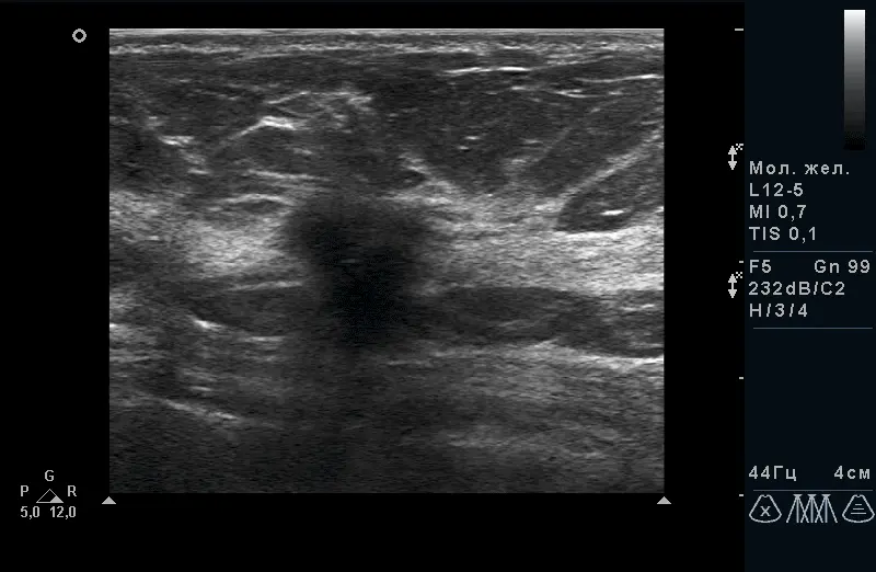
Рис.2. Дифузна форма мастопатії без гіперплазії і фіброзу. |
Що показує УЗД
При проведенні УЗД молочної залози, лікар оцінює:
- стан тканин
- наявність новоутворень і кіст
- також УЗД дозволяє контролювати процес взяття пункції для детального вивчення підозрілого освіти в лабораторних умовах
Показання для УЗД молочних залоз
УЗД грудних залоз можна робити і профілактично, без прямих на те показань. Але в разі скарг або будь-яких змін з боку залоз, потрібно звертатися до лікаря. Найпоширенішими варіантами для призначення УЗД молочних залоз, є:
- хворобливість в області грудей, огрубіння сосків і виділення з них рідини
- зміна форми грудей, розмірів, контурів
- первинний огляд у лікаря-спеціаліста, і з’явилося в результаті цього підозра на появу кіст та інших новоутворень
- збільшення лімфатичних вузлів
- контроль лікування захворювань, пов’язаних з гормональними дисфункціями
- травматичні, післяопераційні і запальні процеси
- планування вагітності, безпосередньо вагітність і лактація
В який день циклу і як часто можна робити УЗД молочної залози
Частота проведення УЗД молочних залоз варіюється в залежності від віку жінки. У віці до 40 років – досить 1 рази в рік. Після 40 років, бажано проходити УЗД грудей 2 рази в рік.
Для отримання максимально точних результатів при проходженні УЗД молочних залоз, робити його бажано в першій половині менструального циклу:
Приблизно 5-й – 10-й день. В цей час гормональний фон у жінки найстабільніший. Безпосередньо перед менструацією, УЗД краще не робити. У цей період гормональний фон найстабільніший, і це може спотворити картину.

Як проводиться
Якщо лікар призначив Вам зробити УЗД молочних залоз, досить записатися на прийом. Ніякої особливої підготовки для цього дослідження не потрібно. Головне, чітко виконувати вказівки лікаря з приводу циклу і часу прийому. У призначений день Ви приходите в кабінет.
Якщо Ви робили мамографію, варто взяти її з собою, щоб лікар міг порівняти результати рентгену з результатами УЗД.
Безпосередньо УЗД молочних залоз проходить так: пацієнтка заходить в кабінет і роздягається зверху по пояс. Після цього лягає на кушетку, на спину. Руки потрібно закинути за голову. Після цього лікар наносить на шкіру грудей спеціалізований гель, службовець для плавного ковзання датчика по шкірі, а також посилення ультразвукового променя. Лікар водить датчиком по шкірі над обследуемой зоною, а на екрані з’являється зображення тканин. Дослідження проводиться на обох молочних залозах для порівняння отриманих результатів. Процедура – абсолютно безболісна і не несе неприємних відчуттів.
Саме УЗД грудей займає по часу 30 хвилин. Після закінчення процедури, пацієнтка встає, за допомогою рушники можна видалити залишки гелю з грудей. Після цього можна одягатися. Результат видається на руки.

Що краще: мамографія або УЗД молочних залоз, і чим вони відрізняються
УЗД молочних залоз і мамографія засновані на різних фізичних і апаратних методах.
Мамографія – це рентгенологічне дослідження молочних залоз. Воно пов’язане з підвищеною радіологічної навантаженням на організм, тому часто робити не рекомендується. До того ж сам процес пов’язаний з неприємними відчуттями від здавлювання залози між пластинами апарату в процесі зйомки.
УЗД грудних залоз – це дослідження за допомогою ультразвукових хвиль високої частоти. Вони абсолютно нешкідливі для організму. Також сама процедура не викликає ніякої хворобливості або дискомфорту.
В ідеалі ці два методи доповнюють один одного. Для отримання кращого результату, лікарі рекомендують проходити ці дослідження в комплексі.
Якщо у Вас з’явилися скарги з приводу Ваших молочних залоз, або ви хочете пройти профілактичний огляд, Ви завжди можете звернутися до лікаря-фахівця. Він призначить Вам УЗД молочних залоз, яке Ви можете пройти в нашій клініці. Результати будуть видані Вам на руки або ж відправлені лікареві. Запис на прийом ведеться на зручне для Вас час, і Вам не доведеться чекати в черзі.


