Нирки виконують ряд життєвоважливих функцій в організмі людини, серед яких:
- видільна (з сечею з організму виводяться кінцеві продукти обміну речовин (сечовина, креатинін), токсини (аміак).
- регуляція водно-сольового балансу (нирки регулюють обсяг крові і міжклітинної рідини, виводячи з організму надлишки рідини і мінеральних солей, при цьому через нирки за добу проходить 1500 літрів крові і утворюється до 2 літрів сечі.
- ендокринна , нирки беруть участь в процесах синтезу таких речовин:
• кальцитриол – гормон, який контролює обмін кальцію в організмі
• ренін – фермент, який регулює обсяг циркулюючої в організмі крові
• простогландини – речовини, що регулюють артеріальний тиск
• еритропоетин, гормон, що стимулює створення крові в кістковому мозку.
Однак запальні процеси, переохолодження, травми і токсини, що надходять в організм людини, можуть викликати порушення цих функцій, тоді можуть визначатися наступні симптоми ураження нирок :
- дизурія (зміна кількості сечі, частоти сечовипускання, кольору запаху і т.п.)
- болю в області попереку (частіше з боків від хребта, нижче реберної дуги – при запаленні в нирках), болі по переднє-бічній поверхні живота, що віддають в лобок або внутрішню частину стегон (при наявності каменя в сечоводі)
- температура (зазвичай вище 38 ° С 39 ° С при пієлонефриті, у дітей часто це єдиний симптом – температура і більше нічого)
- підвищення артеріального тиску (особливо діастолічного (нижнього), особливо у осіб молодого віку)
- набряки (особливо ранкові, що супроводжуються одутловатостью особи).
- зміни в аналізах сечі і біохімічному аналізі крові (ниркові проби).
УЗД нирок на сьогоднішній день це високоінформативне, і в місці з тим, абсолютно безпечне і безболісне дослідження, що дозволяє досконально вивчити структуру нирок і визначити наявність в них дифузних і вогнищевих змін.
Підготовка до УЗД нирок:
Для пацієнтів, які не страждають зайвою вагою і підвищеним газоутворенням в кишечнику, спеціальної підготовки не потрібно, в іншому випадку, підготовка така ж, як при дослідженні органів черевної порожнини: дослідження проводитися натще, після 8-12 годинного голодування, бажано в ранкові години, напередодні дня дослідження бажано виключити з раціону харчування продукти викликають підвищене газоутворення: капусту (в будь-якому вигляді), сирі овочі і фрукти, молоко, дріжджову випічку і газовані напої. Протягом дня необхідно приймати препарати зменшують здуття кишечника (Еспумізан або активоване вугілля).
Якщо з нирками планується досліджувати і сечовий міхур, тоді за 1 годину до дослідження потрібно випити 2-3 склянки негазованої води або міцного чаю.
Також бажано взяти з собою результати попередніх досліджень нирок та інших органів черевної порожнини (УЗД, КТ, МРТ ) – для можливості відстежити динаміку патологічних змін.
Хід процедури:
УЗД нирок проводиться лежачи на кушетці, а також на правому, лівому боці і в положенні стоячи, процедура займає від 15 до 30хв разом з описом. На область живота наноситься спеціальний гель, який є провідником для ультразвукових променів, доктор переміщує датчик і на екрані монітора в режимі реального часу йде побудова зображення структур розташованих під датчиком. Процедура абсолютно безболісна і безпечна.
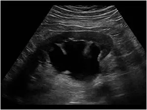
УЗ картина нирок в нормі:
Нирки розташовані типово (в нормі нирки розташовані з боків від поперекового відділу хребта, права з рівня 12 грудного до верхнього Каря 4-го поперекового хребця, ліва від 11-го грудного до 3-го поперекового хребця);
розміри: 10-12см по довжині, 5-6см по ширині, 4-5 по товщині (різниця в розмірах нирок між собою не повинна перевищувати 2 см, нирка розміром 8см і менш вважається гипоплазирована (зменшеної));
Нирки мають бобовидную форму, з рівними контурами, чіткими межами, капсула повинна бути не ущільнена. Паренхіма товщиною в середньому сегменті 12-20мм, корти-медулярная диференціація і диференціація паренхіма-нирковий синус збережена. Ехоструктури центрального комплексу однорідна, гіперехогенна, чашечно-лоханочная система не розширена, конкрементів не містить.
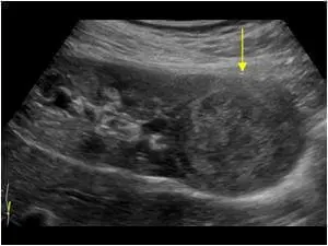
Патологічні зміни нирок, які виявляються на УЗД:
- аномалії розвитку нирок (аномалії кількості нирок – від 1 до 4, положення, форми, величини, структури
- сечокам’яна хвороба (камені в нирках)
- пієлонефрит (запалення ниркових мисок)
- доброякісні та злоякісні об’ємні утворення бруньок (кісти, абсцеси, ангіоміоліпоми, рак)
- ушкодження (розрив) нирок
- сморшенная, атрофована нирка (прояв хронічної ниркової недостатності, як результат аутоімунних системних захворювань, діабетичної, гіпертонічної нефропатії, і інших патологічних станів, при яких нирки перестають нормально функціонувати)
Не відкладайте якісну діагностику на потім, запишіться на прийом вже сьогодні!
” Ефективним лікування може бути тільки при правильному діагнозі “. Або стосовно конкретного захворювання: “Діагностика і лікування проводиться в Центрі” Меддіагностика “.
Ціни на УЗД нирок і сечового міхура





