Головний біль і запаморочення – це частіше наслідок судинної патології.
Найбільш реальна і часта причина головного болю і головокружіння – це патологія судин головного мозку.
Визначити, чи дійсно судини викликали ці скарги, які конкретно судини викликають запаморочення або головний біль і що сталося з цими судинами (яка причина) допомагає МРТ судин головного мозку. Більш коректним було б говорити про МРТ судин мозку і МРТ судин шиї. Судини мозку харчуються з судин шиї – це одна система.
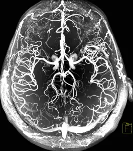
Малюнок – МРТ судин шиї та голови.
МРТ реконструкція судин голови і шиї дозволяє виявити слабкі місця в кровопостачанні мозку. Іншими словами – ділянки мозку з дефіцитом кровопостачання через патологію судин. Як показує наша багаторічна практика, це може бути недорозвинення (звуження або повна відсутність) деяких судин у мозку. Наприклад, в задньому сегменті так званого судинного Віллізеєва кола (центр з’єднання декількох магістральних артерій в мозку), такі зміни зустрічаються у 24,5% людей. Ця цифра встановлена H.Yasargil (Німеччина) і приведена Piter Duus в 1997.
Віллізеєве судинне коло – це місце злиття чотирьох головних артерій головного мозку. Така будова судин мозку була передбачена природою для підстраховки: якщо одна артерія виходить з ладу (частіше на шиї), то кровотік компенсується за рахунок інших трьох артерій.
Для розуміння причини запаморочення або головного болю важливо побачити ті судини, які звужені або які зовсім не працюють. Як було сказано вище, мозок харчується чотирма великими артеріями. Ці судини проходять через шию, входять в порожнину черепа і утворюють Веллізеєве коло і далі судини починають галузиться.
На МРТ видно не тільки великі, але більш дрібні артерії мозку.
Можна побачити відсутність (нерозвиненість) або звуження (недорозвинення, спазм) однієї з артерій. Такі зміни в судинах можуть викликати збій функції ділянки мозку. У тому числі ділянки, від якої залежить запаморочення або головний біль.
Звужуватися судина може, наприклад, через її спазм або атеросклероз.
Атеросклероз розвивається повільно, бляшка поступово збільшується і в результаті може повністю перекрити кровотік в судині; в цьому випадку страждає ділянка мозку, як показано на картинці нижче.
Тому доцільно вчасно встановити схильність до атеросклерозу. Для цього клінікою «Меддіагностика» розроблений атеросклеротичний тест, який використовується для оцінки не тільки кровотоку головного мозку, але і для судин серця.
Як МРТ апарат оцінює кровотік при головному болю або запамороченнях?
МРТ апарати клініки Меддіагностика сучасні і в стані провести дослідження судин головного мозку без внутрішньовенного застосування контрасту.
Зображення судин при МРТ виходить за рахунок оцінки апаратом руху крові в судині. Принцип МРТ діагностики – це оцінка різних фізичних станів рідини. Кров – це рухома рідина з іншими фізичними характеристиками, ніж тканини мозку. Тому за допомогою МРТ ми можемо оцінити не тільки стан мозку, а й стан судин. Спеціальні програми МРТ апарату «ловлять» потік крові в судинах, запам’ятовують цей сигнал і передають інформацію в свій МРТ-комп’ютер. Там інформація обробляється і виводиться на екран у вигляді зображення мережі всіх судин мозку (див. нижче).
Отримане зображення – тривимірне. Його можна покрутити за допомогою мишки в трьох площинах і, таким чином, простежити хід будь-якої судини головного мозку. Судину видно на всьому своєму протязі. У неї можна виявити звуження (спазм, атеросклероз, недорозвинення) або розширення (аневризма).
Які принципи лікування головного болю і запаморочення, викликаних патологією судин?
- Залежно від того, що показало МРТ обстеження (спазм, атеросклероз, недорозвинення … та ін.) визначається тактика лікування.
- Наприклад, МРТ дослідження показало зниження кровотоку в одній з артерій. Лікар розуміє, що в цьому судинному басейні не вистачає крові для живлення мозку, що викликало запаморочення або головний біль. Потрібно поліпшити кровообіг в зміненій кровоносній судині. Нерідко трапляється так, що досить розширити судини або поліпшити відтік від мозку для вирішення проблеми запаморочення або головного болю.
- Поліпшити харчування постраждалої ділянки мозку з сусіднього судинного басейну – активувати резервний кровотік.
Майже кожна артерія має свою «підстраховану» артерію. Це артерія – «дублер», яка страхує ділянку мозка на випадок зниження кровотоку в одній з цих артерій. Для лікування запаморочення або головного болю досить підсилити кровотік в сусідній артерії-дублері і, таким чином, підживити ділянку мозку. Якщо від цієї ділянки мозку залежить запаморочення або головний біль, то після такої лікувальної процедури ці відчуття пройдуть.
Методи поліпшення кровопостачання мозку
- Медикаменти. Їх ніхто не відміняв і їх потрібно використовувати. Але, недолік медикаментів в тому, що вони не діють цілеспрямовано на конкретну судину або судинний басейн. Вони діють на всі судини організму, включаючи здорові. Медикаменти можна приймати в таблетках або внутрішньовенно через крапельницю.
- Рефлексотерапія. Один з найпотужніших методів поліпшення і корекції кровотоку головного мозку. Це може бути голкорефлексотерапія, Краніотерапія, краніоцервікотерапія, маніпуляційна терапія (робота з суглобами голови і шиї).
- Різновидом рефлексотерапії є плазмотерапія (читати більше) – дуже дієвий метод лікування запаморочення і головного болю. Цей метод використовується останні кілька років і на сьогодні показав себе, як один з найбільш ефективних для зняття запаморочення і блокування головного болю.
- Фізичне дозоване навантаження і фізична реабілітація після того, як головний біль і запаморочення пройдуть.
КОРОТКА АНОТАЦІЯ МАТЕРІАЛІВ СТАТТІ. Стаття описує такі скарги як «запаморочення» і «головний біль», які можуть бути обумовлені патологією судин. В першу чергу – патологія судин мозку (головного мозку), як показує практика. Зміни в судинах шиї і в судинах головного мозку виявляються за допомогою МРТ дослідження. Причин патології судин може бути багато. Будь-яка патологія судин має свої причини. Для розуміння характеру змін в судинах мозку проводять МРТ судин мозку – вельми інформативний метод діагностики. Для розуміння, як лікувати цю патологію, доцільно паралельно провести УЗД дослідження кровотоку головного мозку з функціональними пробами.







