Рентген колінного суглоба у центрі Меддіагностика Київ на Дарниці, лівий берег ✅. Записатися на цифровий рентген коліна ⏩ (044) 339-90-20.
При травмі або появі болю в області коліна, людина звертається до лікаря-травматолога зі скаргами на біль в коліні, погану рухливість і т.п. Існує кілька методик обстеження колінного суглоба, які може призначить лікар для постановки діагнозу: узі, рентген коліна, МРТ, КТ. Хоч вони і різняться між собою технічно, але однаково ефективно спрямовані на виявлення природи болю. Щоб пройти рентген колінного суглоба в Києві, а також інших досліджень широкого спектру, Ви завжди можете звернутися в клініку Меддіагностика.
Покази для рентгенографії колінного суглоба
Рентгенографія колінного суглоба проводиться для виявлення патологічних процесів в самому колінному суглобі і прилеглих тканинах. До таких патологічних процесів відносяться:
Гострі травматичні зміни:
- Забій коліна – найлегший вид травми. Супроводжується болем, але в специфічному лікуванні не потребує. Найчастіше на рентгені коліна ніяких змін виявлено не буде.
- Забій коліна з переломом кісток і \ або надколінка – серйозна травма, що характеризується болем як при ходьбі, так і в спокої, набряком в місці травми, великої гематомою. На рентгені колінного суглоба буде видно пошкодження кістки і надколінка, стояння уламків.
- Пошкодження меніска – важка травма, викликана розривом або відламом меніска. Відзначається різкий сильний біль, клацають звуки під коліном, набряк.
- Розрив хрестоподібної зв’язки – травма, отримана в результаті різкого руху ногою (різкий старт при бігу, спортивні навантаження і т.п.). Характеризується набряком прилеглих тканин, утрудненням ходьби, болем. Можливо буде судити про ці травмах зі зміни ширини межсуставной щілини.
Дистрофічні зміни:
- Артроз (гонартроз) – зміна хрящової тканини і структур всередині самого суглоба. Як правило, виявляється у людей середнього та похилого віку.
- Артрит (гонартріт) – запальний процес в колінному суглобі. На рентгені колінного суглоба візуалізуватиметься зміна ширини межсуставной щілини, розростання остеофітів.
- Остеопороз – нестача кальцію в кістках, що призводить до підвищення ризику перелому.
Новоутворення в кістковій тканині або в суглобі
- пухлини
- метастази
При даному виді патології на рентгені колінного суглоба будуть видні освіти, без чіткої форми, іноді з виходом за межі кісткової тканини.
Кожен з перерахованих вище факторів є показанням для рентгенографії колінного суглоба.
Протипокази і обмеження
Прямих і явних протипоказань для рентгена колінного суглоба – немає. Для захисту пацієнта від розсіяного залишкового випромінювання при проведенні дослідження використовуються спеціальні засоби індивідуального захисту (фартухи, коміри, накладки на гонади), якими комплектуються всі рентген-кабінети. При проведенні обстеження колінного суглоба в рентген-апараті передбачена можливість регулювати поле опромінення для точного прицілювання на область дослідження без порушення інших частин тіла. Також в самому рентген-апараті передбачені настройки як для дорослих, так і для дітей. Навіть для вагітних жінок і плоду, рентген колінного суглоба не несе ніякої небезпеки, при використанні засобів захисту.
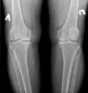
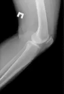
Картина, видима при рентгені коліна
Знімки робляться в двох проекціях: передньо-задній (прямий) і бічний. В першу чергу на рентгенограмі лікар-рентгенолог бачить анатомічна будова колінного суглоба
- стегнова кістка
- латеральний мищелок стегнової кістки
- медіальний мищелок стегнової кістки
- коліна
- Велика гомілкова кістка
- латеральний мищелок великогомілкової кістки
- медіальний мищелок великогомілкової кістки
- головка малогомілкової кістки
- шийка малогомілкової кістки
У процесі розшифровки рентгена колінного суглоба, лікар оцінює стан кісток, ширину суглобової щілини, наявність або відсутність остеофитов на бічних поверхнях стегнової і великогомілкової кісток, розташування і стан надколінка.
Рентген колінного суглоба в нормі і при різних патологіях
норма
На рентгені колінного суглоба в нормі не повинно визуализироваться ніяких патологічних новоутворень; тріщин, осколків. Суглобові поверхні – рівні, суглобова щілина однакова по ширині з обох сторін. Надколінок непошкоджений, що не зміщений.
травматичні зміни
Рентген коліна при будь-якої травми, є основним методом дослідження для правильної постановки діагнозу. При переломах на знімках візуалізується стан кісток, пов’язане з травмою; наявність уламків, якщо стався перелом; пошкодження і зміщення надколінка.
дистрофічні зміни
Розширення або звуження суглобової щілини на рентгені колінного суглоба явно свідчить про артрит, артроз. Розростання кісткової тканини на бічних поверхнях кісток – так звані остеофіти.
Зберігання рентгенівських знімків
Рентгенограми в особливих умовах зберігання не потребують. Досить – перешкоджатиме потраплянню прямих сонячних променів, не нагрівати і не тримати в приміщенні з підвищеною вологістю.
Якщо Вас турбує біль у коліні або Ви отримали травму, звертайтеся в нашу клініку Меддіагностика. Тут Ви зможете проконсультуватися у лікаря-ортопеда, а також отримати весь спектр діагностичних процедур. І, якщо Ви шукаєте можливість зробити рентген колінного суглоба в Києві, то в нашій клініці ви зможете це зробити без черг, і в комфортних умовах, як за попереднім записом, так і в порядку живої черги. Клініка має новітньої технічною базою, представленої цифровим рентгенівським апаратом японського виробництва, з можливістю як друку знімків на плівці, так і записом на диск для подальшого консультації лікарем-фахівцем як в стінах клініки, так і за її межами.
Подивитися ціни на рентген колінного суглоба


