Рентген гомілковостопного суглоба є безболісним методом візуалізації внутрішніх анатомічних структур та фізіологічної активності зчленування. Дослідження допомагає виявити причину патологічного стану органу та спланувати лікувальні заходи, у т. ч. хірургічні операції.
Чи небезпечно це
Згідно з висновком Всесвітньої організації охорони здоров’я (ВООЗ), рентгенівські промені визнані канцерогеном, який здатен викликати генетичні мутації. Встановлено, що вплив електромагнітних хвиль такого типу в рамках процедури медичної рентгенографії збільшує ризик розвитку онкології з 0,6% до 1,8% після досягнення людиною 75-річного віку. Імовірність короткострокових побічних явищ мінімальна, хоча при отриманні високої дози опромінення можливі непритомність, кровотечі, інтоксикація, випадіння волосся та ураження шкіри.
Процедура рентгенографії гомілковостопного суглоба безпечна, тому що ефективна доза опромінення при створенні знімка становить лише 0,005 мЗв. Це значення в 1,6 рази менше від середньодобової кількості радіації, що приймається людиною від усіх природних джерел. Вчені стверджують, що навіть при одноразовому отриманні дози менше 50-100 мЗв ризики погіршення здоров’я мінімальні або відсутні взагалі.
Показання для проведення рентгену гомілковостопного суглоба
Рентгенограми гомілковостопної області виконуються за різними показаннями, включаючи:
- підозру на вивих чи перелом;
- потовщення, деформацію суглоба чи п’яти;
- біль у ділянці кісточки, у т. ч. нетравматичного характеру;
- дискомфортні відчуття при піднятті тяжкості.
Пацієнтам із встановленими ураженнями суглоба чи кісток рентгенографія призначається з метою контролю за ефективністю лікувальних заходів.
До якого лікаря звернутися
Щоб зробити знімки гомілкостопу, необхідно звернутися до рентгенолога. До обов’язків цього фахівця входять проведення променевої діагностики та інтерпретація результатів.
Перед відвідуванням лабораторії слід звернутися до терапевта, який проаналізує сукупність патологічних симптомів та направить пацієнта до лікаря вузької спеціалізації: ортопеда-травматолога, хірурга, ревматолога. На підставі більш детальних досліджень лікар дасть рекомендації щодо вибору виду рентгенографічного дослідження та кількості проекцій.
Підготовчі заходи
Стандартна процедура рентгенографії не вимагає спеціальної підготовки: пацієнт може продовжувати харчуватися та приймати препарати у звичному режимі. Однак при функціональній діагностиці із застосуванням контрастних індикаторів доведеться тимчасово припинити прийом деяких продуктів та ліків. Уточнити правила підготовки до рентгену слід у лікаря.
Техніка проведення дослідження
Дослідження проводиться 15 хвилин, у своїй тривалості опромінення становить трохи більше 1 секунди.
Стандартний протокол процедури включає кілька етапів:
- Досліджувану область оголюють: знімають одяг та прикраси.
- Пацієнта укладають у горизонтальне положення, поміщаючи і фіксуючи гомілковостоп між апаратом і касетою (плівковою або цифровою).
- Сумісні ділянки тіла, що не досліджуються, накривають захисним свинцевим фартухом, щоб запобігти зайвому опроміненню.
- Хвильовий пучок фокусують у потрібній точці гомілкостопа і роблять знімок. Орієнтацію рентгенівських променів вибирають залежно від типу проекції, іноді виконують ротацію стопи.
Щоб зображення вийшло чітким, пацієнт повинен дотримуватись нерухомості.
Що показує рентген
Рентгенографія дозволяє візуалізувати складну анатомічну будову внутрішніх структур гомілкостопа та діагностувати такі стани:
- вроджені порушення та вади;
- травми, у т. ч. переломи кісток та вивихи;
- артроз – руйнування внутрішнього суглобового хряща;
- поразки запальної етіології: артрит, синовіт, подагра;
- остеофіти – суглобові нарости;
- плоскостопість;
- порушення кровопостачання, обміну речовин та ін.
Рентгенограми допомагають зробити первинний аналіз стану гомілкостопа, проте для більш глибокого дослідження м’яких тканин та уточнення діагнозу рекомендується використовувати методи комп’ютерної та магнітно-резонансної томографії.
Нормальні показники
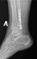
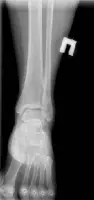
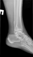
Стандартний рентгенографічний аналіз області гомілковостопного суглоба включає візуалізацію 2 видів: прямого заднього та бокового. У деяких випадках роблять знімок у косій проекції.
Прямий задній вигляд дозволяє оцінити стан суглобової щілини, яка має ширину 3-4 мм. Також на знімку можна розглянути кісточку, таранну та гомілкові кістки. Щоб досліджувати їх детальніше, використовується коса проекція.
Бічний вигляд дозволяє виявити переломи, вивихи та суглобові випоти навколо гомілкостопа. Крім того, проекція допомагає в оцінці тяжкості травм кістки п’яти шляхом вимірювання кутів Беллера і Гиссана, які в нормі рівні 20-40° і 94-136° відповідно.
При розгляді рентгенограм вивчаються м’які тканини на наявність набряку. Скупчення рідини в області зчленування латеральної та медіальної кісточок є ознакою переломів та травм зв’язок. Випіт може бути ідентифікований за наявності ущільнень тканин спереду та ззаду суглоба.
На знімках погано видно зв’язки та сухожилля, проте добре проглядається ахілове сухожилля. Його нормальний діаметр у середньому становить 6 мм. Значення параметра понад 8 мм вказує на патологію сухожиль, причиною може бути дистрофічне ураження найближчих м’язів, розрив, запальні артропатії, післяопераційні зміни.
Обмеження та можливі ускладнення після процедури
Оскільки при рентгенодіагностиці пацієнт зазнає впливу потенційно небезпечного іонізуючого випромінювання, не рекомендується проводити дослідження без достатніх на то підстав. Однак променеве навантаження сучасних цифрових апаратів на 80% нижче, ніж при експлуатації традиційного плівкового обладнання.
Тому процедура має невелику кількість протипоказань:
- вагітність та період грудного вигодовування;
- ожиріння I ступеня та вище.
Функціональна рентгенодіагностика із застосуванням екзогенних контрастних індикаторів має кілька додаткових протипоказань:
- алергічні реакції на речовину, що вводиться;
- кишкова непрохідність;
- тяжка форма ниркової або печінкової недостатності;
- явний цукровий діабет;
- порушення згортання крові.
Рекомендується обмежити кількість рентгенологічних діагностичних процедур дітям віком до 14 років. Профілактичні дослідження можна проводити не частіше ніж 1 раз на рік за призначенням лікаря.
Ускладнення після діагностики можуть виникнути, якщо було перевищено оптимальну дозу опромінення. У цьому випадку спостерігаються тимчасові чи незворотні зміни складу крові, інтоксикація, ослаблення імунітету. Проте сучасні цифрові методи рентгенографії виключають розвиток подібних подій.
Догляд після рентгенографії
Після рентгенодіагностики можна відновити звичну діяльність, оскільки планова процедура з дотриманням норм опромінення не викликає побічних явищ.
При використанні екзогенних контрастних агентів рекомендується збільшити вживання рідини, що сприяє більш швидкому виведенню цих речовин із організму. Якщо після рентгенографії з’явилися біль, набряк, почервоніння в точці ін’єкції, слід звернутися за допомогою до лікаря.
Чому варто звернутися до клініки «Медіагностика» у Києві
Багаторічний практичний досвід дозволяє клініці «Меддіагностика» у Києві пропонувати клієнтам оптимальне співвідношення якості та вартості досліджень. У лікувально-діагностичному центрі можна отримати вичерпну інформацію про стан здоров’я та пройти лікування під контролем професіоналів.







