Метод УЗД (ультразвукової діагностики) в гінекології є ключовим у встановленні діагнозу. Ультразвукове дослідження дозволяє виявити безліч гінекологічних захворювань, а також здійснювати контроль за їх перебігом при лікуванні.
Наприклад:
- Цервіцит та ендоцервіцит- запалення шийки матки,
- Кісти шійки матки
- Поліпи матки
- ендометрит – запалення слизової оболонки матки,
- сальпінгоофорит – запалення маточних труб і яєчників,
- аднексіт – запалення яєчників.
- Кісти яєчників
- Фолікулярний апарат яєчників
- Відслідковування овуляції, що використовується при проблемах з вагітністю, персистенції фолікулів і т.і.
УЗД гінекологічне завжди проводиться жінкам при болях внизу живота. Біль внизу живота може мати багато причин. Тому гінекологічне УЗД – це обов’язковий метод при візиті до гінеколога.
Біль внизу живота може супроводжуватися болючим та (або) частим сечовиділенням і навіть пробудженням вночі. В такому випадку слід думати про запалення сечового міхура – цистит. Гінекологічне запалення може супроводжуватися чи ускладнюватися циститом, що можна пояснити анатомічної близькістю цих органів. Найчастіше таке одночасне запалення може свідчить про його інфекційну природу (Захворювання, які передаються статевим шляхом. Або чим небезпечний оральний і незахищений секс?)
Діагностику (УЗД гінекологічне, кольпскопія, лабораторія та ін.) і лікування проводить лікар-гінеколог вищої категорії з 30-річним стажем.
Ультразвукове дослідження органів малого таза – це найдоступніший і абсолютно безпечний метод обстеження. Унікальністю використання ультразвуку в діагностиці гінекологічних захворювань є отримання зображень з високою роздільною здатністю, що дає можливість оцінити не тільки структуру пухлиноподібних утворень, а й оцінити характеристику щільності і кровопостачання.
Метод ультразвукової діагностики в акушерстві та гінекології є головним методом дослідження, за допомогою якого можна з високою вірогідністю поставити діагноз, не вдаючись до інших методів дослідження. Ультразвукове дослідження дозволяє виявити безліч гінекологічних захворювань і здійснювати контроль за їх теченіем.
Сучасні технології дозволили забезпечити УЗ-дослідження на найвищому рівні в акушерстві та гінекології за допомогою комбінації різних доступів: використання Трансабдомінальна
- Трансабдоміналь
ний; - Трансвагінальний D
; - трансректальний
; - Транслябіальний
.
Трансабдомінальна
Трансвагінальний доступ є “золотим стандартом” в дослідженні органів малого таза на увазі найкращою візуалізації з найтоншої оцінкою структури, оптимальний метод в діагностиці вагітності на ранніх термінах, оцінці будови плода до 14 тижнів. Датчик розташовується в піхві.
Трансректальний доступ має ті ж характеристики візуалізації, що і трансректальний. Є альтернативою при неможливості проведення вагінального методу. Датчик вводиться на відстань 5-6 см в пряму кишку. Кращий метод діагностики стану передміхурової залози у чоловіків. Дивіться також: УЗД органів малого таза у чоловіків .
Транслябіальний доступ застосовується з метою дослідження органів малого таза у дівчаток, при аномаліях розвитку зовнішніх статевих органів (аплазія,
За допомогою УЗД можна побачити і оцінити стан тіла матки, шийки матки, яєчників, маткових труб (при їх патології) і оточуючих їх органів. Є пріоритетним методом дослідження стану судин малого таза. Під час дослідження вимірюються розміри всіх доступних для дослідження органів, оцінюється їх структура і відповідність фазі менструального циклу, оцінка кровопостачання органів і судин.

Перевагою ультразвукового дослідження в акушерстві та гінекології є відсутність спеціальної підготовки, можливість проведення в невідкладних станах, швидка організація проведення.
Ультразвукове дослідження є найкращим методом діагностики гиперпластически
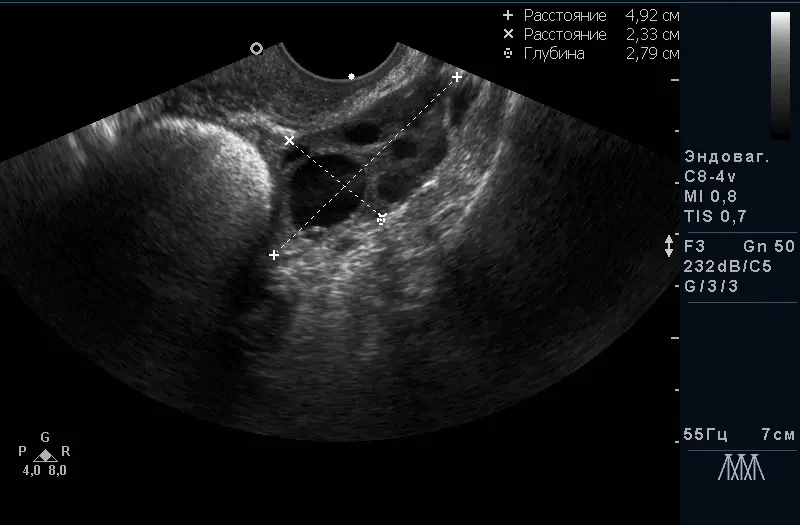
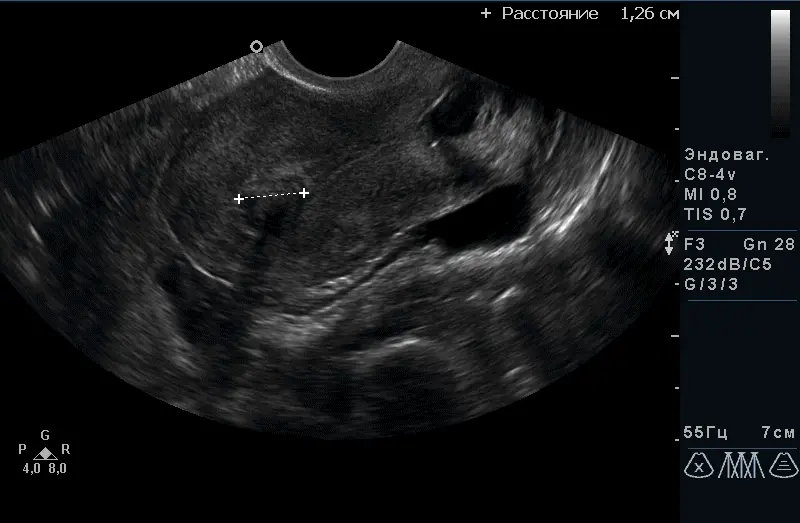
Ріс.2.Субмукозна |
Рис.3. Субмукозная міома з ендометріойдной кістою шийки матки |
Переваги УЗД органів малого таза:
- УЗД є неінвазивної (не вимагає ін’єкцій) і, в більшості випадків, безболісною процедурою.
- УЗД є досить простий, широкодоступний і менш дорогий спосіб обстеження, в порівнянні з іншими методиками візуалізації.
- УЗД не має на увазі використання іонізуючого випромінювання.
- УЗ-сканування дозволяє отримати чітке зображення м’яких тканин, які при рентгенологічних
му обстеженні не помітні. - УЗД є найкращим методом візуалізації для спостереження за здоров’ям і розвитком плоду під час вагітності.
- УЗД забезпечує зображення тканин в режимі реального часу, що дозволяє використовувати його при таких малоінвазивних процедурах, як пункційна і аспіраційна біопсія.
- УЗД органів малого тазу допомагає діагностувати найрізноманітніші захворювання сечовивідних шляхів та статевої системи у пацієнтів обох статей без найменшого ризику, пов’язаного з проведенням рентгенологічного
ого дослідження.

Показання до проведення УЗД органів малого таза:
У дітей УЗД органів малого таза використовується для діагностики причин:
- Обстеження гермафродитних геніталій та інших аномалій будови органів малого таза.
- Болей в нижніх відділах живота.
- Передчасного статевого розвитку або затримки пубертату у дівчаток.
- Новоутворень порожнини малого таза.
У жінок УЗД органів малого таза застосовується для оцінки стану:
- Сечового міхура.
- Яєчників.
- Маткових (фаллопієвих) труб.
- Матки.
- Шийки матки.
- Судин малого таза.

УЗД використовується для спостереження за здоров’ям і розвитком плоду під час вагітності.
УЗД органів малого тазу допомагає виявити причини таких симптомів, які виникають у жінок:
- Болі в нижніх відділах живота.
- Болі в попереку .
- Порушення менструального циклу.
- Патологічні кровотечі.

УЗД органів малого тазу використовується для діагностики:
- Пальпованих утворень, таких як пухлини яєчників і маткові фіброматозні вузли.
- Рак яєчників або матки.
- Гиперпластически
х процесів ендометрія, поліпів. - Аномалій будови матки.
- Рубцов на матці.
У чоловіків УЗД органів малого таза використовується для оцінки стану:
- Сечового міхура.
- Сім’яних пухирців.
- Передміхурової залози.
Підготовка до проведення УЗД органів малого таза:
Проведення Трансабдомінальна
Трансвагинальное і трансректальное,
Фахівці нашої клініки виконають ультразвукове дослідження згідно за світовими стандартами. З урахуванням екології, жінкам до 45 років показаний УЗД-контроль молочних залоз .
Ціни на УЗД органів малого таза
“Ефективним лікування може бути тільки при правильному діагнозі” . Або стосовно конкретного захворювання: “Діагностика та лікування органів малого тазу проводиться в Центрі” Меддіагностика “.



