Біль у колінному суглобі? Як зняти біль у коліні без операції. Лікування в Києві, метро Дарниця ➥ Лікувально-діагностичний центр «Меддіагностика» ✔️.
Для того що б швидко позбавитися болю в коліні буває достатньо провести сеанс ударно-хвильової терапії або зняти ущільнення м’яких тканин – попросту провести корекцію суглоба руками. Якщо коліно болить тривалий час, це може бути ознакою артрозу і привести до втрати функції суглоба. Артроз – це захворювання, яке веде до інвалідності, а також може вимагати заміни суглоба. Своєчасне звернення до лікаря ортопеда-травматолога дасть шанс вилікувати суглоб від болю без операції, призупинити процес руйнування і уникнути хірургічного втручання. ПРИКЛАД лікування артрозу коліна з відновленням хряща.
Хто в Центрі «Меддіагностика» лікує болі в колінах без операції
Обладнання Центру для діагностики
Що робити при болю в коліні
- Встановити причину болю в коліні (встановити діагноз).
- Причину встановить доктор ортопед-травматолог або ревматолог. Діагноз встановлюється за допомогою клінічного та апаратного обстеження.
- Тактика лікування болю в коліні залежності від виявленої причини.
Відгуки про лікування болю в коліні в Центрі «Меддіагностика»
У цій статті:
Чому виникає біль в колінах
Однією з частих причин є травма— удар, незграбний рух, наприклад, при присіданні, особливо зі скручуванням в коліні. Біль в коліні може виникати, як може здатися, без явної причини. Хоча, причина завжди є і її, як правило, можливо знайти за допомогою клінічного аналізу і використовуючи сучасне діагностичне обладнання.
Частіше травмуються меніски коліна, зв’язки (коллатералні, хрестоподібні), капсула суглоба, сухожилки ті м’язи, що забезпечують рухи в суглобі. Частіше це потребує нехірургічного лікування. Оперувати потрібно складні переломи, повні розриви зв’язок і інших м’яких тканин суглобів. Тактика лікування вибирається відповідно до встановленого діагноза..
Виявлена на МРТ травма меніска не завжди потребує термінової операції (артроскопія або традиційна хірургія). Багаторічна статистика відділу МРТ Центру «Меддіагнстіка» показала, що у 8 пацієнтів з 10 виявлено розшарування заднього рогу меніска. При цьому болі в коліні не було і функція коліна не було порушено. Такі пацієнти не вимагали хірургічного втручання.
Болі в колінах нерідко виникають при артрозі. Суть артрозу колінного суглоба полягає в поступовому руйнуванні суглобового хряща і в супутніх змінах кісткової тканини (останні розвиваються поступово на більш пізніх стадіях артрозу).
Біль в коліні може тривати довго і не мати, як здається на перший погляд, причини. Процес може тягнутися роками. Так буває при артриті, кісті Бейкера (різновид артриту коліна), при періартриті (запаленні навколосуглобових м’яких тканин) і т.ін. Причини цих запалень з’ясувати нескладно, коли провести раціональну діагностику.
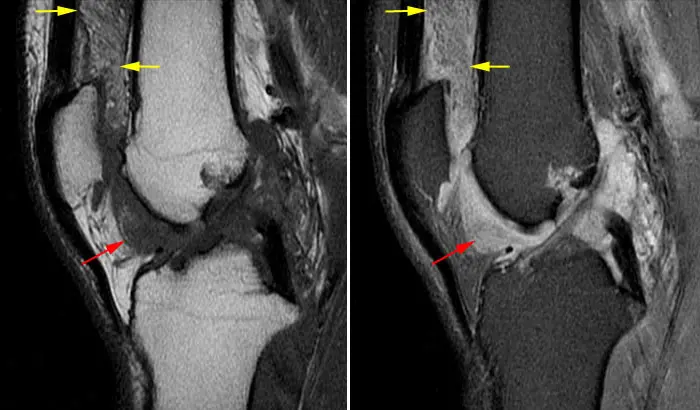
Артрит колінного суглоба, кіста Бейкера (МРТ).
Хронічний артрит нерідко призводить до розвитку артрозу.
Артроз – це інвалідизуюче захворювання, яке в майбутньому може зажадати складної і дорогої операції заміни суглоба (ендопротезування). Тому раціонально і дешевше виявити причину артриту і вчасно його вилікувати. У будь-якому випадку потрібна вивірена діагностика.
Причини болю в коліні
- аутоімунні захворювання суглобів, ревматоїдний артрит
- кіста Бейкера підколінної ямки – дискомфорт виникає в області задньої поверхні колінного суглоба, може бути наслідком пошкодження, артриту
- порушення кровопостачання нижньої кінцівки
- Артропатії колінного суглоба
- Ліпома колінного суглоба (деревоподібна)

- Порушення іннервації суглоба
- Порушення обмінних процесів в суглобі
- Вільозно-нодулярний пігментний синовіт
- Остеомієліт ділянки колінного суглоба
- Остеомієліт Гарре ділянки, який супроводжується болем в коліні;
- онкологічні захворювання – біль в коліні може бути різним в залежності від виду онкологічного захворювання і анатомічного характеру самої пухлини;
- хвороба Осгуда-Шлаттера – остеохондропатія бугристості великої гомілкової кістки. Біль при цьому буде місцева в ділянці бугристості кістки;
- Біль в коліні відбита при остеоартрозі кульшового суглоба (коксартроз)
- Хондромаляція надколінка
- Остеохондроз поперекового відділу хребта з проєкційними болями в ділянку коліна. Ці болі частіше пов’язані з міжхребцевими грижами,протрузіями, спонділоартрозом, фасеточним синдромом і т.ін. коли ущільнюються нервові корінці);
- Судинні захворювання при ураженні судин біля коліна (вени, артерії);
- Нейропатії – ураження деяких нервів, які мають відношення до інервації коліна;
- Хондромаляція надколінка– біль при ураженні суглобового хряща надколінка;
- Лігаментит медіпателлярної складки;
- Дрібнокристалічний артрит, подагра – захворювання, яке пов’язане з порушенням обміну сечової кислоти. Біль може виникати раптово, наприклад, після порушення дієти. Коліно може бути набряклим, гарячим, почервонілим. Лікує цю хворобу лікар ревматолог.
- Синовіт – запалення синовіальної оболонки суглоба;
- Бурсит – запалення синовіальної сумки суглоба (бив. Бурсит коленного сустава);
- Лігаментит– запалення зв’язки суглоба;
- Тендиніт – запалення і біль в ділянці ушкодженого сухожилка;
- і т.ін.
Фактори, які провокують біль в коліні
- Перевантаження,
- Надлишкова вага,
- Пряме ушкодження,
Діагностика причин болю в суглобі
Для з’ясування причини болю в суглобі необхідно звернутися до лікаря ортопеда-травматолога або до ревматолога.
Лікар проводить огляд пацієнта, уточнює історію хвороби, проводить спеціальні ортопедичні проби і встановлює попередній діагноз. Остаточний діагноз встановлюється після апаратного обстеження. Ефективне лікування можливе тільки при розумінні природи і причини захворювання.
Для чого потрібна апаратна діагностика
З метою діагностики стану коліна проводять цифрову рентгенографію коліна. При підозрі на те, що джерело болю в хребті (остеохондроз хребта) і біль має проекційну (корінцеву) природу, проводять рентгенографію поперекового відділу хребта, МРТ поперекової ділянки хребта.
УЗД коліна — достатньо точний метод діагностики патології м’ягких тканин суглоба. УЗД дозволяє бачити запалення, уточнювати стан синовіальнї оболонки, об’єм рідини в коліні, її локалізацію і ті.
Проліферація синовіальної оболонки коліна при кісті Бейкера (фото нижче)
Оцінка стану суглобового хряща коліна, що вкрай важливо при артрозі (фото нижче).
Оцінка кровотоку в синовіальній оболонці колінного суглоба
УЗД суглобів, читати більше.
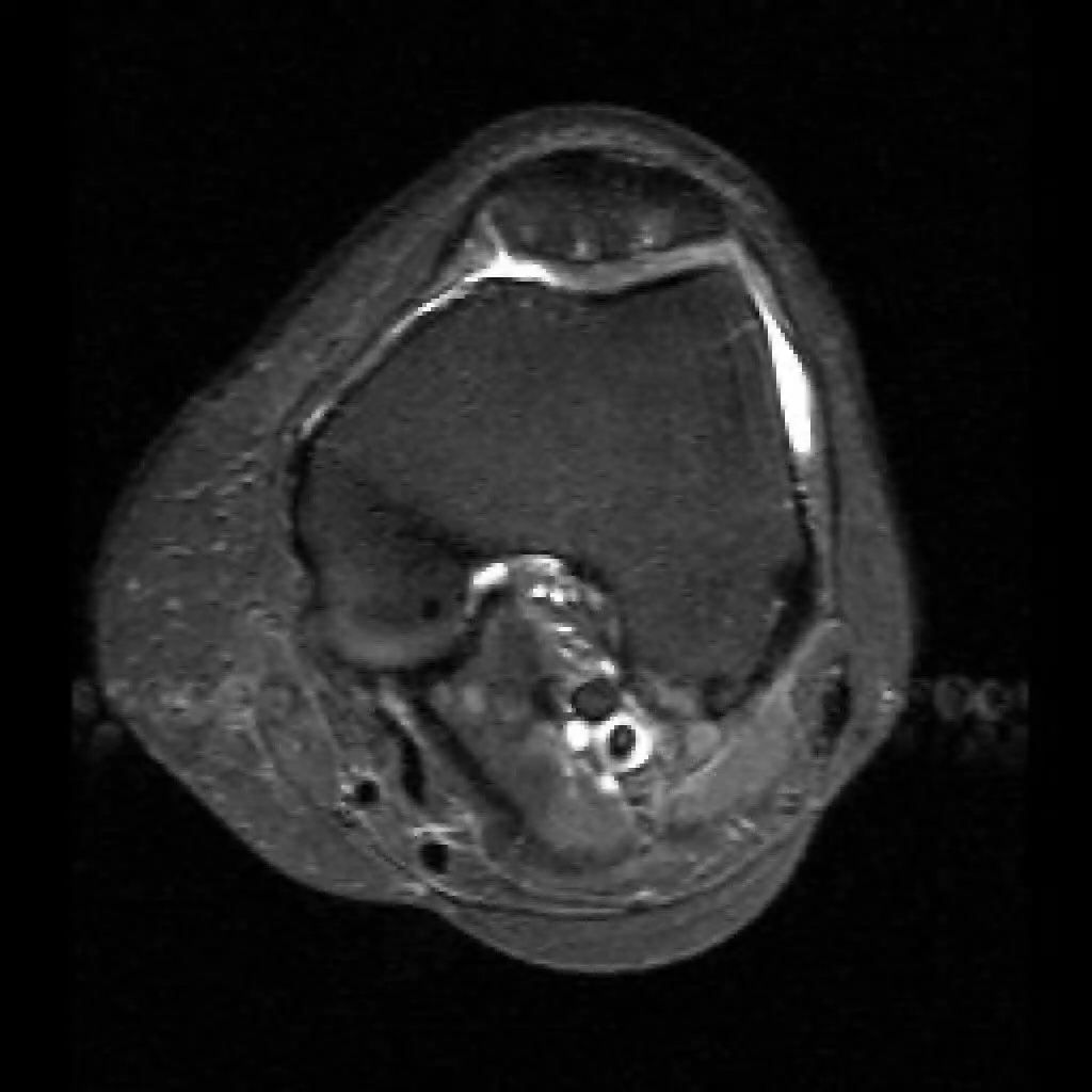
МРТ коліна дозволяє бачити тонкощі і особливості ушкодження тканини коліна, наприклад при травмі (меніски, зв’язки, скриті переломи кісток і багато іншого).
МРТ колінного суглоба (фото 1)
МРТ суглобів, читати більше.
Лабораторні дослідження можуть бути вкрай важливими при хронічних болях, артритах, при порушенні обміну речовин та ін.
Кожний метод дослідження не виключає проведення іншого. Наприклад, при артрозі немає можливості встановити точний діагноз тільки по МРТ. Потрібен ще і рентген.
Точно з’ясувати стадію артрозу коліна можна тільки за допомогою рентгену.
Тільки фахівець може призначити необхідні обстеження після опитування та огляду пацієнта з болем у суглобі.
Лікування болю в коліні
Лікування буває хірургічним і нехірургічним.
Хірургічне лікування болів в колінному суглобі призначається при складних переломах, звихах, при повному розриві зв’язок, грубих розривах менісків зі зміщеннями їх фрагментів, при пухлинах, остеомієліті… Артроскопію частіше призначають при розривах зв’язок, грубих пошкодженнях менісків…
Нехірургічне лікування. В інших випадках при болях в суглобі раціонально починати з уточнення причини болю. Лікування проводять на підставі з’ясованого діагноза.
Не всі виявлені на МРТ зміни є причиною болю в суглобі.
Наприклад, наявність артрозу без втрати коліном рухової функції не є абсолютним показанням до заміни суглоба (ендопротезування).
Важливо переконатися, чи не є цей біль наслідком іншого захворювання. Наприклад, артриту, обмінної артропатії, лігаментиту, ентезиту, невралгії, радикуліту та інш. на фоні, наприклад, незначного артрозу.
Читати: Оперувати коліно чи ні!
Выбір тактики лікування болю в коліні залежить від діагностованої причини. Найбільш ефективний і найкоротший шлях для вирішення проблеми з болем в коліні це вивірена діагностика патології. Колінний суглоб має чіткий перелік анатомічнх утворень, зміни в яких викликають біль. Вони всі підлягають аналізу за стандартами Центру «Меддіагностика».
Центр «Меддіагностика» разом з Українським Інститутом м’язово-скелетної медицини і неврології, розробили ефективні методи лікування болю в суглобах і профілактики артрозів. Вони дозволяють зняти біль, поліпшити кровообіг і харчування хряща, відрегулювати обмін синовіальної рідини, точково впливати на запалення в суглобі и багато іншого.
Методи лікування суглобів в Центрі «Меддіагностика»
- Методи лікування болю в коліні
- Лікування захворювання, які спричинили й (болів) суглобів в Києві
- Ревматологія. Лікування ревматичних захворювань
При болю в коліні важливо зробити так, щоб біль не повторювалася. Для цього пропонує достатній перелік методів, включаючи фізичну реабілітацію суглобів, фізіотерапію, кинезотерапию і ін.

Доктор медичних наук за спеціальністю «Неврологія», вища категорія за спеціальністю «Травматологія-ортопедія»
Відгуки про лікування болю в коліні
Хочу поділитися, що зі мною сталося і як я поміняла ставлення до української медицини. Я працюю в Америці і не змогла там вирішити свою проблему. Почали боліти суглоби — плечі і коліно. По страховці зробили рентген і виписали «Вольтарен». Це нічого не допомагало… Суглоби боліли цілодобово. Відчувала зміну погоди так, що що впору було йти підробляти в метеослужби. Приїхала до Києва в «Меддіагностика» за рекомендацією друзів чоловіка прямо до професора Володимира Володимировича Гонгальського. Приємно вразила оперативність роботи, чого немає за кордоном. Огляд, МРТ з УЗД суглобів в один день за кілька годин! Американський рентген не підійшов, щось потрібно було уточнювати, довелося тут-же доробити. Подивився і сказав, що без аналізів лікувати не буде. Аналізи і обстеження показали, що це щось на зразок ревматизму. Лікували 2 тижні, потім професор ще десять днів доводив до розуму суглоби. Навіть мою голову зачепив. Пройшли запаморочення і мігрені. Клас, з головою вийшло, як би, між іншим… На мій подив через 3 тижні суглоби пройшли. Навіть пролікував ерозії в суглобах, які знайшли під час обстеження. Що цікаво, температура знизилася до нормальної. Кілька років не могли знайти причину цих 37 градусів. Сказав, потрібен контроль, особливо з ерозіями в колінах, і профілактика. Обіцяв спостерігати. Хоча, у мене вже нічого не болить. У свої 30 років відчувала себе руїною. Зараз інша справа. Дякую. Оперативно, чітко і професійно. Добрый день! В начале 2019 года получил очень серьезную травму правого колена с полным букетом: мениск, разрыв крестовидной связки и кисту Беккера в придачу. Обращался ко многим специалистам Киева высшей квалификации ( финансовые возможности позволяют). Да, я , конечно, не могу давать себе такую же нагрузку на ноги как раньше, но для нормальной жизни чувствую себя вполне комфортно. Я могу бегать, не марафон, конечно, но бегать 1-2 км спокойным темпом. Могу прыгать, танцевать, делать повороты , кататься на лыжах. Так что , искренне благодарю профессора Владимира Владимировича за то, что он реально уберёг меня не только от операции , но и от многих многих осложнений. Спасибо огромное!!! Я обратилась в клинику «Медиагностика» к профессору Гонгальскому Владимиру Владимировичу с сильными мигренями и болями в суставах. Мигрени мне уже просто не давали жить, я уже была зависима от лекарства. В клинике я прошла ряд исследований и сдала анализы. Оказалось, что мои головные боли из-за нарушения кровообращения. Владимир Владимирович совершил просто чудо, с помощью нескольких сеансов иглоукалывания решил мою проблему. Мои мигрени исчезли!!! Также профессор Гонгальский В.В. обнаружил причину боли в суставах, которая крылась налицо в моем организме инфекции и установил диагноз реактивный артрит. Мне было прописано лечение и суставы меня больше не беспокоят. Всем, кто испытывает проблемы со здоровьем и длительное время не может найти причину, советую обратиться в клинику «Медиагностика». Здесь работают высококвалифицированные врачи, а также имеющаяся мощная диагностическая база. Персонал всегда приветливый, прием осуществляется по предварительной записи, ни разу не пришлось долго ждать. Всем известно, что правильно установленный диагноз – это залог успешного лечения заболевания. Мне пришлось вновь обратиться в Центр «Меддиагностика» по поводу головокружения. До этого много лет назад у меня болели суставы. Я вспомнила, где мне эффективно помогли с суставами. Это было 8 лет назад. Моя история исцеления такова: Обратилась впервые в клинику я в 2012 году, после длительного и безрезультатного лечения болей в суставах. Докторами ставился мне диагноз полиостеоартроз. Я доверилась специалистам «Меддиагностика». Меня обследовал профессор Владимир Владимирович Гонгальский, сдала анализы. Оказалось, что у меня еще и полиартрит, нашел даже грыжу. Он взялся за лечение. Был применен нестандартный метод лечения. Мои суставы обновились и хронические боли ушли, качество моей жизни улучшилось. Это дорогого стоит, я отказалась! от гормонов. Прошло уже 8 лет, а меня суставы не беспокоят. Спасибо и низкий поклон специалистам клиники «Меддиагностика» и их руководителю профессору Владимиру Владимировичу Гонгальскому. Ревматологи и лечение суставов в Украине с 2009 года. Масса процедур, лекарств, врачей самых известных частных клиник. Состояние только ухудшалось.
Никогда раньше не оставлял отзывов о качестве медицинской помощи наших уважаемых отечественных докторов, но сейчас решил оставить свой отзыв о докторе Гонгальском Владимире Владимировиче, поскольку благодаря его профессионализму мне удалось избежать серьезной операции на колене.
Разброс их диагнозов был таков: от срочной операции по восстановлению мениска до полной замены коленного сустава.
Слава Богу заехал в Меддиагностику для анализа МРТ и случайно встретился с Владимир Владимировичем. После детального обследования и снятия воспалительного процесса путём простых процедур все восстановилось и мне не пришлось прибегать ни к какой операции. Оказалось, что у меня ещё достаточно и хрящевой ткани ( лет на 20 минимум) и мениск вполне удалось восстановить.
Поездки в Индию (1 раз в год и так 3 раза подряд) – по приезду хорошо, но через некоторое время суставы болели вновь…
Лечение в Израиле, 7 поездок с 2013-2015 гг, у одного из 3-х самых маститых местных докторов по данному профилю. Самочувствие значительно улучшилось, суставы не сильно беспокоили, но приходилось принимать ОЧЕНЬ ДОРОГИЕ ТЯЖЕЛЫЕ И ТОКСИЧНЫЕ ЛЕКАРСТВА, которые имеют много побочных эффектов. Да и анализы не улучшались, а, наоборот…
И тут счастливый поворот судьбы – знакомство с центром Меддиагностика и ее руководителем, профессором Гонгальским Владимиром Владимировичем. Он предложил АЛЬТЕРНАТИВНЫЙ СПОСОБ лечения.
Итак, 2 месяца лечения (1-2 раза в неделю).
Результат: хожу раз в 10 больше, чем раньше, анализы крови в норме!!! Никто за 10 лет не смог снизить СОЭ, только профессор ВВ.Гонгальский добился такого потрясающего результата!
Да, консультация у такого профессионала не может стоит дешево. Но это намного дешевле, чем поездки за границу.
Очень приятное отношение ко мне, как к пациенту.
И главное, никакой “химии” (только иглоукалывание) + явное улучшение моего здоровья и самочувствия. Теперь обращаюсь к доктору периодически, для профилактики и поддержания хороших показателей здоровья .
Спасибо огромное, Владимир Владимирович!
К слову, и другие врачи клиники, с которыми я контактировала за это время, были со мной тактичны и старались помочь. Благодарю и их.
Ссылка на отзыв в Google















