Це доведено в Центрі «Меддіагностика».
Сучасні методи лікування дозволяють не тільки зменшити біль, але й реально покращити стан хряща.
В Центрі вдалося зупинити розвиток артрозу коліна і навіть збільшити висоту суглобової щилина на 22% (від 2.80 мм до 3.98мм).
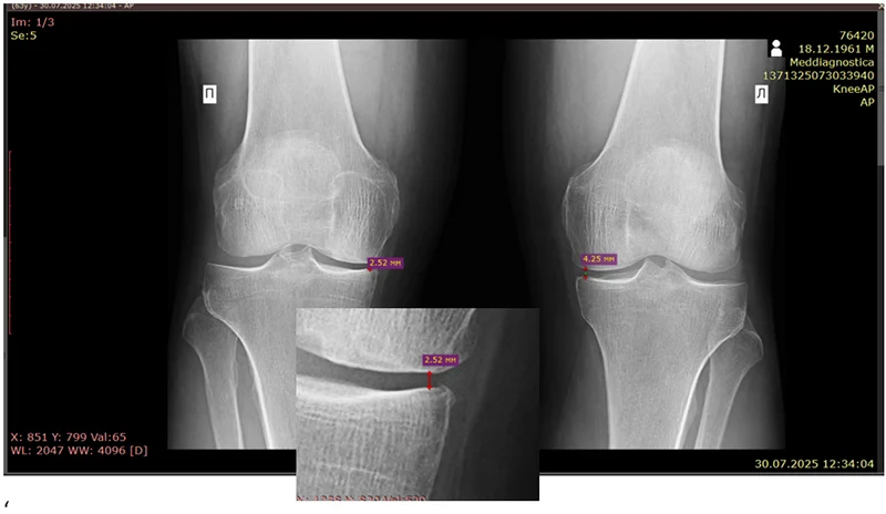
На рентгені, що далі – стан суглобової щілини до лікування (на 30.07.2025):

Стан суглобової щілини після 27 днів лікування (контроль 27.08.2025).

При цьому на рентгені можна побачити відновлення краєвої зони хряща (позначено стрілками).
Історія пацієнта
До нас звернувся чоловік 1961 року народження. Його турбував постійний біль у правому коліні, який тривав з 2021 року (4 роки).
До цього він перепробував усі відомі методи лікування, такі як:
- нестероїдні протизапальні препарати (допомогали лише тимчасово)
- ін’єкції стероїдів,
- хондропротектори,
- навіть у 2022 році йому було проведено артроскопію ( «чисткою хряща»).
Та біль не зникав, а артроз продовжував прогресувати.
Ситуація змінилася лише тоді, коли він звернувся до нашого Центру. Біль став турбувати з кожним днем рідше. Вже через 27 днів лікування ми отримали рентгенівське підтвердження покращення – збільшення суглобової щилини та зменшення ознак артрозу завдяки спеціально розробленим методам впливу на тканини суглоба.
Важливо. Рентген – «золотий стандарт» діагностики артрозу. Саме він дозволяє об’єктивно оцінити висоту суглобової щілини та стан кісток суглоба.
Висота суглобової щілини індивідуальна для кожного пацієнта і залежить від його конституції.
В наведеному випадку зменшення висоти суглобової щілини в коліні порівняно з здоровим суглобом свідчило про розвиток артрозу.
У нашого пацієнта була майже 3-тя стадія артрозу правого коліна – стан, який часто швидко переходить і переходить в 4-ту стадію (коли без ендопротезування не обійтися).
Своєчасна діагностика та правильно підібране лікування можуть врятувати коліно від операції.
Для того щоб уникнути ендопротезування коліна слід своєчасно зробити рентген, пройти ортопедичне клінічне обстеження з неврологічним компонентом, що є ключем для ефективного лікування та уникнення операції.
До чого неврологія при лікуванні суглоба?
Хрящ і всі інші м’які тканини коліна отримують живлення через судини (хрящ опосередковано). Робота судин контролюється нервами. Якщо цей зв’язок порушено, хрящ недоотримує необхідні речовини і вологу для його живлення. Тому ми відновлюємо нормальне живлення тканин, впливаючи і на суглоб, і на трофіку тканин через нервову систему.
Наш підхід – це:
- лікування артрозу без операцій (крім 4 стадії)
- відновлення живлення хряща
- зменшення болю навіть без медикаментів
- зупинка прогресування захворювання
Якщо є біль в коліні, не чекайте поки артроз перейде в важку стадію. Своєчасна діагностика та лікування можуть зберегти ваш суглоб і повернути повноцінний рух без болю та покращити якість життя.
Хто в Центрі «Меддіагностика» відновлює живлення м’яких тканин коліна при артрозі, лікує больові синдроми в суглобах без хірургічного втручання і нерідко навіть без медикаментів
Обладнання лікувально-діагностичного Центру «Меддіагностика» для уточнення стадії артрозу і його причини
ЧИТАТИ БІЛЬШЕ:
Як уникнути операції на коліні
Цифровий рентген колінного суглоба в Києві на Лівому березі
Лікування артрозу суглобів в Києві
Біль в коліні. Лікування болю в коліні в Києві
Вода в коліні – що потрібно знати про це.

